Размер шрифта:
Цвета сайта:
Изображения:
 

Рентгенологические и ультразвуковые исследования при заболеваниях суставов

Читать отрывок

Данная книга более не доступна.

Семизоров А. Н. Рентгенологические и ультразвуковые исследования при заболеваниях суставов : Пособие для врачей / А. Н. Семизоров, С. В. Романов. - М. : Видар-М, 2008. - 216 c. - ISBN 9785884291140. - Текст : электронный // ЭБС "Букап" : [сайт]. - URL : https://www.books-up.ru/ru/book/rentgenologicheskie-i-ultrazvukovye-issledovaniya-pri-zabolevaniyah-sustavov-9194384/ (дата обращения: 23.05.2026). - Режим доступа : по подписке.
Аннотация

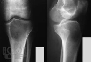
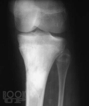
Предлагаемая книга является дальнейшим развитием вышедшего ранее пособия «Ретнгенологическое и ультразвуковое исследование при заболеваниях
суставов».
Иллюстративная часть материала дополнена рентгенограммами, расширен
и углублен текст. В книге изложены основы рентгенологической и ультразвуко
вой диагностики дегенеративнодистрофических, воспалительных и других
заболеваний суставов. Представлены особенности диагностики при наиболее
часто встречающихся в клинической практике заболеваниях суставов.
Пособие рассчитано на рентгенологов, врачей УЗИ, ортопедов и врачей других специальностей.

свернуть
Дополнительные материалы
Изображения 324

Ещё больше материалов после регистрации

Видео 0
В этом разделе еще нет дополнительных материалов, будьте первыми.
Аудио 0
В этом разделе еще нет дополнительных материалов, будьте первыми.
Документы 0
В этом разделе еще нет дополнительных материалов, будьте первыми.
Добавить материал
Семизоров А. Н. Рентгенологические и ультразвуковые исследования при заболеваниях суставов : Пособие для врачей / А. Н. Семизоров, С. В. Романов. - М. : Видар-М, 2008. - 216 c. - ISBN 9785884291140. - Текст : электронный // ЭБС "Букап" : [сайт]. - URL : https://www.books-up.ru/ru/book/rentgenologicheskie-i-ultrazvukovye-issledovaniya-pri-zabolevaniyah-sustavov-9194384/ (дата обращения: 23.05.2026). - Режим доступа : по подписке.

Данная книга более не доступна.

Предлагаемая книга является дальнейшим развитием вышедшего ранее пособия «Ретнгенологическое и ультразвуковое исследование при заболеваниях
суставов».
Иллюстративная часть материала дополнена рентгенограммами, расширен
и углублен текст. В книге изложены основы рентгенологической и ультразвуко
вой диагностики дегенеративнодистрофических, воспалительных и других
заболеваний суставов. Представлены особенности диагностики при наиболее
часто встречающихся в клинической практике заболеваниях суставов.
Пособие рассчитано на рентгенологов, врачей УЗИ, ортопедов и врачей других специальностей.

свернуть

Дополнительные материалы

Ещё больше материалов после регистрации

В этом разделе еще нет дополнительных материалов, будьте первыми.
В этом разделе еще нет дополнительных материалов, будьте первыми.
В этом разделе еще нет дополнительных материалов, будьте первыми.
Добавить материал

Похожие книги