Размер шрифта:
Цвета сайта:
Изображения:
 

Ультразвуковая диагностика заболеваний глазного яблока, орбиты

Большая медицинская библиотека
Читать отрывок
Подписка
Читать отрывок
Фомина С. В. Ультразвуковая диагностика заболеваний глазного яблока, орбиты : Учебно-методическое пособие / С. В. Фомина, Н. Л. Климентенко, М. А. Зоркальцев. - Томск : Издательство СибГМУ, 2024. - 49 c. - Текст : электронный // ЭБС "Букап" : [сайт]. - URL : https://www.books-up.ru/ru/book/ultrazvukovaya-diagnostika-zabolevanij-glaznogo-yabloka-orbity-18666856/ (дата обращения: 24.04.2026). - Режим доступа : по подписке.
Аннотация

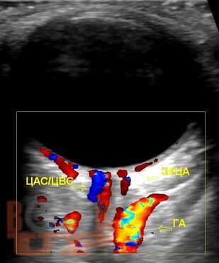
Пособие посвящено ультразвуковой диагностике заболеваний глазного яблока, орбиты. Описана методология ультразвукового исследования глазного яблока и орбиты в В-режиме, режиме допплерографии. Приведены диагностические алгоритмы использования ультразвука в верификации заболеваний глазного яблока, орбиты.

Отдельное внимание уделено клиническим случаям, представлены сонограммы с описанием ультразвуковой картины патологических изменений глазного яблока и орбиты.

Учебно-методическое пособие «Ультразвуковая диагностика заболеваний глазного яблока и орбиты» подготовлено для последипломного профессионального образования врачей ультразвуковой диагностики, врачей и ординаторов клинического профиля ультразвуковая диагностика, терапия, гастроэнтерология, онкология, эндокринология, хиургия.

свернуть
Дополнительные материалы
Изображения 51

Ещё больше материалов после регистрации

Видео 0
В этом разделе еще нет дополнительных материалов, будьте первыми.
Аудио 0
В этом разделе еще нет дополнительных материалов, будьте первыми.
Документы 0
В этом разделе еще нет дополнительных материалов, будьте первыми.
Добавить материал
Большая медицинская библиотека
Фомина С. В. Ультразвуковая диагностика заболеваний глазного яблока, орбиты : Учебно-методическое пособие / С. В. Фомина, Н. Л. Климентенко, М. А. Зоркальцев. - Томск : Издательство СибГМУ, 2024. - 49 c. - Текст : электронный // ЭБС "Букап" : [сайт]. - URL : https://www.books-up.ru/ru/book/ultrazvukovaya-diagnostika-zabolevanij-glaznogo-yabloka-orbity-18666856/ (дата обращения: 24.04.2026). - Режим доступа : по подписке.
Подписка
6 месяцев
12 месяцев
Читать отрывок

Пособие посвящено ультразвуковой диагностике заболеваний глазного яблока, орбиты. Описана методология ультразвукового исследования глазного яблока и орбиты в В-режиме, режиме допплерографии. Приведены диагностические алгоритмы использования ультразвука в верификации заболеваний глазного яблока, орбиты.

Отдельное внимание уделено клиническим случаям, представлены сонограммы с описанием ультразвуковой картины патологических изменений глазного яблока и орбиты.

Учебно-методическое пособие «Ультразвуковая диагностика заболеваний глазного яблока и орбиты» подготовлено для последипломного профессионального образования врачей ультразвуковой диагностики, врачей и ординаторов клинического профиля ультразвуковая диагностика, терапия, гастроэнтерология, онкология, эндокринология, хиургия.

свернуть

Дополнительные материалы

Ещё больше материалов после регистрации

В этом разделе еще нет дополнительных материалов, будьте первыми.
В этом разделе еще нет дополнительных материалов, будьте первыми.
В этом разделе еще нет дополнительных материалов, будьте первыми.
Добавить материал

Похожие книги