Размер шрифта:
Цвета сайта:
Изображения:
 

Donald School Basic Textbook of Ultrasound in Obstetrics and Gynecology

Читать отрывок
Подписка
Читать отрывок
DAddario V. Donald School Basic Textbook of Ultrasound in Obstetrics and Gynecology / V. DAddario, A. Kurjak, G. Rizzo. - 3-е изд.. - New Delhi : Jaypee Brothers Medical Publishers, 2023. - 390 c. - ISBN 9789354655784. - Текст : электронный // ЭБС "Букап" : [сайт]. - URL : https://www.books-up.ru/ru/book/donald-school-basic-textbook-of-ultrasound-in-obstetrics-and-gynecology-18337149/ (дата обращения: 17.04.2026). - Режим доступа : по подписке.
Аннотация

Serves as a basic understanding of the wide diagnostic capability of ultrasonography in obstetrics and gynecology. Several new chapters have been added in order to cover in a simple and basic way all aspects of ultrasound in obstetrics and gynecology An essential educational tool not only for physicians involved in fetal medicine, gynecology and infertility, but also for ultrasound technicians and midwifes The basic knowledge of ultrasonography in obstetrics and gynecology following the reading of this book can be expanded by reading the more specialized books of the rich Donald School Library.

свернуть
Дополнительные материалы
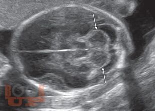
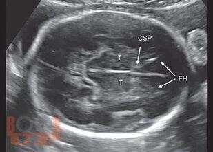
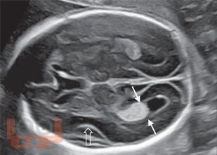
Изображения 84

Ещё больше материалов после регистрации

Видео 0
В этом разделе еще нет дополнительных материалов, будьте первыми.
Аудио 0
В этом разделе еще нет дополнительных материалов, будьте первыми.
Документы 0
В этом разделе еще нет дополнительных материалов, будьте первыми.
Добавить материал
DAddario V. Donald School Basic Textbook of Ultrasound in Obstetrics and Gynecology / V. DAddario, A. Kurjak, G. Rizzo. - 3-е изд.. - New Delhi : Jaypee Brothers Medical Publishers, 2023. - 390 c. - ISBN 9789354655784. - Текст : электронный // ЭБС "Букап" : [сайт]. - URL : https://www.books-up.ru/ru/book/donald-school-basic-textbook-of-ultrasound-in-obstetrics-and-gynecology-18337149/ (дата обращения: 17.04.2026). - Режим доступа : по подписке.
Подписка
12 месяцев
Читать отрывок

Serves as a basic understanding of the wide diagnostic capability of ultrasonography in obstetrics and gynecology. Several new chapters have been added in order to cover in a simple and basic way all aspects of ultrasound in obstetrics and gynecology An essential educational tool not only for physicians involved in fetal medicine, gynecology and infertility, but also for ultrasound technicians and midwifes The basic knowledge of ultrasonography in obstetrics and gynecology following the reading of this book can be expanded by reading the more specialized books of the rich Donald School Library.

свернуть

Дополнительные материалы

Ещё больше материалов после регистрации

В этом разделе еще нет дополнительных материалов, будьте первыми.
В этом разделе еще нет дополнительных материалов, будьте первыми.
В этом разделе еще нет дополнительных материалов, будьте первыми.
Добавить материал

Похожие книги