Размер шрифта:
Цвета сайта:
Изображения:
 

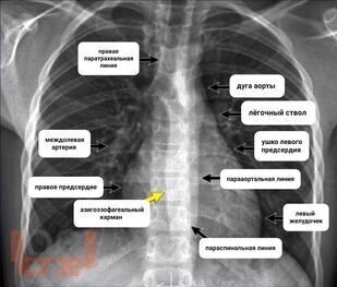
Рентгеноанатомия органов грудной клетки

Большая медицинская библиотека
Читать отрывок
Подписка
Читать отрывок
Лютая Е. Д. Рентгеноанатомия органов грудной клетки : Учебное пособие / Е. Д. Лютая, Е. В. Горелик, Е. В. Змеева. - Волгоград : ВолгГМУ, 2025. - 65 c. - ISBN 9785965210602. - Текст : электронный // ЭБС "Букап" : [сайт]. - URL : https://www.books-up.ru/ru/book/rentgenoanatomiya-organov-grudnoj-kletki-17968799/ (дата обращения: 10.11.2025). - Режим доступа : по подписке.
Аннотация

В учебном пособии представлена информация о нормальной рентгеновской анатомии органов грудной полости, вариантной анатомии, наиболее частых аномалиях развития, скиалогии, алгоритме описания рентгенограмм и основных требованиях по оформлению протокола рентгенологического исследования.

Пособие предназначено для студентов, обучающихся по специальностям «Лечебное дело», «Педиатрия», «Стоматология», «Медико-профилактическое дело», а также для системы последипломного образования: аспирантов и ординаторов, обучающихся по специальностям «Рентгенология», «Ультразвуковая диагностика», «Функциональная диагностика».

свернуть
Дополнительные материалы
Изображения 87

Ещё больше материалов после регистрации

Видео 0
В этом разделе еще нет дополнительных материалов, будьте первыми.
Аудио 0
В этом разделе еще нет дополнительных материалов, будьте первыми.
Документы 0
В этом разделе еще нет дополнительных материалов, будьте первыми.
Добавить материал
Большая медицинская библиотека
Лютая Е. Д. Рентгеноанатомия органов грудной клетки : Учебное пособие / Е. Д. Лютая, Е. В. Горелик, Е. В. Змеева. - Волгоград : ВолгГМУ, 2025. - 65 c. - ISBN 9785965210602. - Текст : электронный // ЭБС "Букап" : [сайт]. - URL : https://www.books-up.ru/ru/book/rentgenoanatomiya-organov-grudnoj-kletki-17968799/ (дата обращения: 10.11.2025). - Режим доступа : по подписке.
Подписка
6 месяцев
12 месяцев
Читать отрывок

В учебном пособии представлена информация о нормальной рентгеновской анатомии органов грудной полости, вариантной анатомии, наиболее частых аномалиях развития, скиалогии, алгоритме описания рентгенограмм и основных требованиях по оформлению протокола рентгенологического исследования.

Пособие предназначено для студентов, обучающихся по специальностям «Лечебное дело», «Педиатрия», «Стоматология», «Медико-профилактическое дело», а также для системы последипломного образования: аспирантов и ординаторов, обучающихся по специальностям «Рентгенология», «Ультразвуковая диагностика», «Функциональная диагностика».

свернуть

Дополнительные материалы

Ещё больше материалов после регистрации

В этом разделе еще нет дополнительных материалов, будьте первыми.
В этом разделе еще нет дополнительных материалов, будьте первыми.
В этом разделе еще нет дополнительных материалов, будьте первыми.
Добавить материал

Похожие книги