Размер шрифта:
Цвета сайта:
Изображения:
 

Лучевая диагностика заболеваний органов грудной полости

Читать отрывок
Подписка
Скачать PDF
Читать отрывок
Власов П. В. Лучевая диагностика заболеваний органов грудной полости / П. В. Власов. - 2-е изд. перераб. и доп.. - М. : Видар-М, 2008. - 376 c. - ISBN 9785884291041. - Текст : электронный // ЭБС "Букап" : [сайт]. - URL : https://www.books-up.ru/ru/book/luchevaya-diagnostika-zabolevanij-organov-grudnoj-polosti-9191204/ (дата обращения: 22.05.2026). - Режим доступа : по подписке.
Аннотация

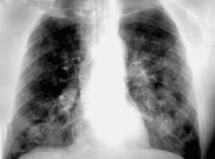
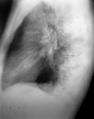
Книга профессора П.В. Власова посвящена современному состоянию лучевой диагностики заболеваний органов грудной полости. Она является первой в отечественной литературе крупной работой, в которой освещена диагностика заболеваний органов грудной полости: острых пневмоний и плеврита, хронических неспецифических заболеваний легких, туберкулеза органов дыхания, рака легкого, опухолей плевры, диффузных и диссеминированных процессов легких, опухолей и кист средостения. Все вопросы рассматриваются с учетом самых современных взглядов на патогенез и диагностику заболеваний.

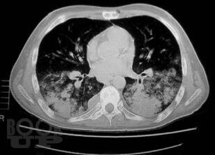
Большим достоинством книги является комплексный подход к диагностике заболеваний. Наряду с традиционными методами ретгенологического исследования, такими как рентгенография и линейная томография, в книге получили полное освещение роль и место в современном комплексе диагностических средств такие методы, как компьютерная томография и ультрасонография, значительно расширившие возможности диагностики заболеваний.

Второе издание дополнено новым материалом, касающимся пневмоний, синдромов респираторной недостаточности и пневмокониозов, что заметно повысило его информативность и практическую значимость.

Книга представляет интерес для рентгенологов, терапевтов, хирургов и врачей других специальностей, занимающихся диагностикой и лечением болезней органов дыхания и средостения. Нет сомнений, что данное издание восполнит существенный пробел в учебной литературе и станет настольным руководством практических врачей. 

свернуть
Дополнительные материалы
Изображения 234

Ещё больше материалов после регистрации

Видео 0
В этом разделе еще нет дополнительных материалов, будьте первыми.
Аудио 0
В этом разделе еще нет дополнительных материалов, будьте первыми.
Документы 0
В этом разделе еще нет дополнительных материалов, будьте первыми.
Добавить материал
Власов П. В. Лучевая диагностика заболеваний органов грудной полости / П. В. Власов. - 2-е изд. перераб. и доп.. - М. : Видар-М, 2008. - 376 c. - ISBN 9785884291041. - Текст : электронный // ЭБС "Букап" : [сайт]. - URL : https://www.books-up.ru/ru/book/luchevaya-diagnostika-zabolevanij-organov-grudnoj-polosti-9191204/ (дата обращения: 22.05.2026). - Режим доступа : по подписке.
Подписка
6 месяцев
12 месяцев
Скачать PDF
Читать отрывок

Книга профессора П.В. Власова посвящена современному состоянию лучевой диагностики заболеваний органов грудной полости. Она является первой в отечественной литературе крупной работой, в которой освещена диагностика заболеваний органов грудной полости: острых пневмоний и плеврита, хронических неспецифических заболеваний легких, туберкулеза органов дыхания, рака легкого, опухолей плевры, диффузных и диссеминированных процессов легких, опухолей и кист средостения. Все вопросы рассматриваются с учетом самых современных взглядов на патогенез и диагностику заболеваний.

Большим достоинством книги является комплексный подход к диагностике заболеваний. Наряду с традиционными методами ретгенологического исследования, такими как рентгенография и линейная томография, в книге получили полное освещение роль и место в современном комплексе диагностических средств такие методы, как компьютерная томография и ультрасонография, значительно расширившие возможности диагностики заболеваний.

Второе издание дополнено новым материалом, касающимся пневмоний, синдромов респираторной недостаточности и пневмокониозов, что заметно повысило его информативность и практическую значимость.

Книга представляет интерес для рентгенологов, терапевтов, хирургов и врачей других специальностей, занимающихся диагностикой и лечением болезней органов дыхания и средостения. Нет сомнений, что данное издание восполнит существенный пробел в учебной литературе и станет настольным руководством практических врачей. 

свернуть

Дополнительные материалы

Ещё больше материалов после регистрации

В этом разделе еще нет дополнительных материалов, будьте первыми.
В этом разделе еще нет дополнительных материалов, будьте первыми.
В этом разделе еще нет дополнительных материалов, будьте первыми.
Добавить материал

Похожие книги