Размер шрифта:
Цвета сайта:
Изображения:
 

Нейровизуализация при энцефалитах и менингитах у детей

Читать отрывок
Подписка
Печатная версия
Читать отрывок
Марченко Н. В. Нейровизуализация при энцефалитах и менингитах у детей : Учебное пособие / Н. В. Марченко, Е. Ю. Скрипченко. - Санкт-Петербург : СпецЛит, 2023. - 103 c. - ISBN 9785299012002. - Текст : электронный // ЭБС "Букап" : [сайт]. - URL : https://www.books-up.ru/ru/book/nejrovizualizaciya-pri-encefalitah-i-meningitah-u-detej-18508621/ (дата обращения: 21.04.2026). - Режим доступа : по подписке.
Аннотация

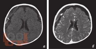
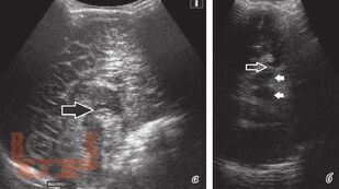
Учебное пособие посвящено вопросам организации и проведения нейровизуализационной диагностики у детей при энцефалитах и менингитах на различных этапах заболевания. В книге указаны особенности визуализации энцефалитов в зависимости от этиологии и тяжести течения заболевания.

Мы приводим разбор возможностей диагностических методик и усовершенствованный алгоритм нейровизуализационной диагностики при нейроинфекциях у детей.

Пособие предназначено для врачей лучевой диагностики, рентгенологов, врачей УЗД, организаторов здравоохранения, неврологов, врачей функциональной диагностики, врачей ЛФК детских и взрослых ЛПУ (реабилитационных отделений, центров, санаторно-курортных организаций) и научных сотрудников в сфере лучевой диагностики, неврологии, функциональной диагностики и медицинской реабилитации в педиатрии, терапии, физиотерапии и курортологии.

Авторы выражают благодарность всем коллегам ФГБУ ДНКЦИБ ФМБА России за помощь в создании данного пособия. Особую признательность авторы выражают врачу-инфекционисту ФГБУ ДНКЦИБ ФМБА России Е. А. Чухниной за техническую помощь в подготовке издания.

свернуть
Дополнительные материалы
Изображения 42

Ещё больше материалов после регистрации

Видео 0
В этом разделе еще нет дополнительных материалов, будьте первыми.
Аудио 0
В этом разделе еще нет дополнительных материалов, будьте первыми.
Документы 0
В этом разделе еще нет дополнительных материалов, будьте первыми.
Добавить материал
Марченко Н. В. Нейровизуализация при энцефалитах и менингитах у детей : Учебное пособие / Н. В. Марченко, Е. Ю. Скрипченко. - Санкт-Петербург : СпецЛит, 2023. - 103 c. - ISBN 9785299012002. - Текст : электронный // ЭБС "Букап" : [сайт]. - URL : https://www.books-up.ru/ru/book/nejrovizualizaciya-pri-encefalitah-i-meningitah-u-detej-18508621/ (дата обращения: 21.04.2026). - Режим доступа : по подписке.
Подписка
6 месяцев
12 месяцев
Печатная версия
Читать отрывок

Учебное пособие посвящено вопросам организации и проведения нейровизуализационной диагностики у детей при энцефалитах и менингитах на различных этапах заболевания. В книге указаны особенности визуализации энцефалитов в зависимости от этиологии и тяжести течения заболевания.

Мы приводим разбор возможностей диагностических методик и усовершенствованный алгоритм нейровизуализационной диагностики при нейроинфекциях у детей.

Пособие предназначено для врачей лучевой диагностики, рентгенологов, врачей УЗД, организаторов здравоохранения, неврологов, врачей функциональной диагностики, врачей ЛФК детских и взрослых ЛПУ (реабилитационных отделений, центров, санаторно-курортных организаций) и научных сотрудников в сфере лучевой диагностики, неврологии, функциональной диагностики и медицинской реабилитации в педиатрии, терапии, физиотерапии и курортологии.

Авторы выражают благодарность всем коллегам ФГБУ ДНКЦИБ ФМБА России за помощь в создании данного пособия. Особую признательность авторы выражают врачу-инфекционисту ФГБУ ДНКЦИБ ФМБА России Е. А. Чухниной за техническую помощь в подготовке издания.

свернуть

Дополнительные материалы

Ещё больше материалов после регистрации

В этом разделе еще нет дополнительных материалов, будьте первыми.
В этом разделе еще нет дополнительных материалов, будьте первыми.
В этом разделе еще нет дополнительных материалов, будьте первыми.
Добавить материал

Похожие книги