Размер шрифта:
Цвета сайта:
Изображения:
 

Практическое руководство по детским болезням. Т.9: Заболевания органов дыхания у детей

Читать отрывок
Подписка
Читать отрывок
Блохин Б. М. Практическое руководство по детским болезням. Т.9: Заболевания органов дыхания у детей : Заболевания органов дыхания у детей / Б. М. Блохин. - М. : Медпрактика-М, 2007. - 616 c. - ISBN 9785988030904. - Текст : электронный // ЭБС "Букап" : [сайт]. - URL : https://www.books-up.ru/ru/book/prakticheskoe-rukovodstvo-po-detskim-boleznyam-t-9-zabolevaniya-organov-dyhaniya-u-detej-4648789/ (дата обращения: 18.05.2026). - Режим доступа : по подписке.
Аннотация

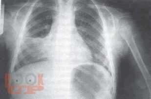
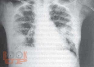
В данном томе многотомного руководства по детским болезням рассмотрены актуальные вопросы пульмонологии, систематизированные в виде современных представлений о заболевании органов дыхания. Приведены новейшие теоретические и клинические данные по анатомо-функциональной характеристике, этиологии, патогенезу, эпидемиологии, патоморфологии, патофизиологии, классификации заболеваний. Представлены методы диагностики и дифференциальной диагностики в детской пульмонологии. Даны практические рекомендации по лечению отдельных форм пульмонологических заболеваний и проведения реабилитационных мероприятий. Руководство иллюстрировано фотокопиями рентгенограмм, томограмм и др.
Данный том руководства по детским болезням представляет интерес для врачей-педиатров различных специальностей, хирургов, врачей пульмонологов, рентгенологов, фтизиатров, врачей клинической ординатуры и интернатуры, студентов.

свернуть
Дополнительные материалы
Изображения 37

Ещё больше материалов после регистрации

Видео 0
В этом разделе еще нет дополнительных материалов, будьте первыми.
Аудио 0
В этом разделе еще нет дополнительных материалов, будьте первыми.
Документы 0
В этом разделе еще нет дополнительных материалов, будьте первыми.
Добавить материал
Блохин Б. М. Практическое руководство по детским болезням. Т.9: Заболевания органов дыхания у детей : Заболевания органов дыхания у детей / Б. М. Блохин. - М. : Медпрактика-М, 2007. - 616 c. - ISBN 9785988030904. - Текст : электронный // ЭБС "Букап" : [сайт]. - URL : https://www.books-up.ru/ru/book/prakticheskoe-rukovodstvo-po-detskim-boleznyam-t-9-zabolevaniya-organov-dyhaniya-u-detej-4648789/ (дата обращения: 18.05.2026). - Режим доступа : по подписке.
Подписка
6 месяцев
12 месяцев
Читать отрывок

В данном томе многотомного руководства по детским болезням рассмотрены актуальные вопросы пульмонологии, систематизированные в виде современных представлений о заболевании органов дыхания. Приведены новейшие теоретические и клинические данные по анатомо-функциональной характеристике, этиологии, патогенезу, эпидемиологии, патоморфологии, патофизиологии, классификации заболеваний. Представлены методы диагностики и дифференциальной диагностики в детской пульмонологии. Даны практические рекомендации по лечению отдельных форм пульмонологических заболеваний и проведения реабилитационных мероприятий. Руководство иллюстрировано фотокопиями рентгенограмм, томограмм и др.
Данный том руководства по детским болезням представляет интерес для врачей-педиатров различных специальностей, хирургов, врачей пульмонологов, рентгенологов, фтизиатров, врачей клинической ординатуры и интернатуры, студентов.

свернуть

Дополнительные материалы

Ещё больше материалов после регистрации

В этом разделе еще нет дополнительных материалов, будьте первыми.
В этом разделе еще нет дополнительных материалов, будьте первыми.
В этом разделе еще нет дополнительных материалов, будьте первыми.
Добавить материал

Похожие книги

В руководстве изложены современные представления об этиологии, патогенезе, квалификации и клинических проявлениях болезней кожи и инфекций передающихся половым путем. Отражены анатомо-физиологические особенности детского возраста, особенности течения инфекционных, паразитарных заболеваний. Общие принципы терапии гиперпролиферативных заболеваний кожи, аллергодерматозов и атипического дерматита освещают педиатрическую направленность. Уделяется внимание диагностике и дифференциальной диагностике кожных болезней, инфекций, передающихся половым путем в детском возрасте. Руководство предназначено для педиатров, дерматовенерологов, студентов педиатрических факультетов и клинических ординаторов.