Размер шрифта:
Цвета сайта:
Изображения:
 

Рак легкого

Читать отрывок
Подписка
Читать отрывок
Цыбусова Т. Н. Рак легкого : учебное пособие / Т. Н. Цыбусова. - Н. Новгород : Издательство ПИМУ (НижГМА), 2017. - 152 c. - ISBN 9785703211854. - Текст : электронный // ЭБС "Букап" : [сайт]. - URL : https://www.books-up.ru/ru/book/rak-legkogo-13007300/ (дата обращения: 13.05.2026). - Режим доступа : по подписке.
Аннотация

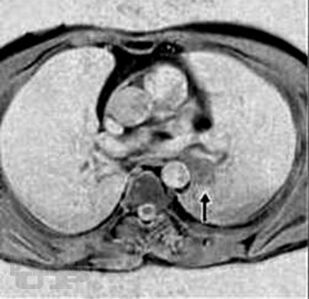
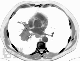
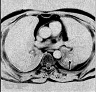
Представлено современное состояние проблемы различных форм злокачественных опухолей бронхолегочной системы, включая и паранеопластические проявления рака легкого. Представлены этиопатогенетические аспекты развития раковой болезни. Даны современные классификации рака легкого. Клиническая картина изложена систематизированно, с алгоритмом дифференциально-диагностического аспекта. Отражены последние достижения и перспективные исследования в диагностике рака легкого. Особое внимание уделено современным методам лечения рака легкого, показаниям и противопоказаниям к применению тех или иных методов лечения, особенно хирургического. Материал сопровождается подробными иллюстрациями.
Для ординаторов по специальностям «Хирургия» и «Онкология».

свернуть
Дополнительные материалы
Изображения 68

Ещё больше материалов после регистрации

Видео 0
В этом разделе еще нет дополнительных материалов, будьте первыми.
Аудио 0
В этом разделе еще нет дополнительных материалов, будьте первыми.
Документы 0
В этом разделе еще нет дополнительных материалов, будьте первыми.
Добавить материал
Цыбусова Т. Н. Рак легкого : учебное пособие / Т. Н. Цыбусова. - Н. Новгород : Издательство ПИМУ (НижГМА), 2017. - 152 c. - ISBN 9785703211854. - Текст : электронный // ЭБС "Букап" : [сайт]. - URL : https://www.books-up.ru/ru/book/rak-legkogo-13007300/ (дата обращения: 13.05.2026). - Режим доступа : по подписке.
Подписка
6 месяцев
12 месяцев
Читать отрывок

Представлено современное состояние проблемы различных форм злокачественных опухолей бронхолегочной системы, включая и паранеопластические проявления рака легкого. Представлены этиопатогенетические аспекты развития раковой болезни. Даны современные классификации рака легкого. Клиническая картина изложена систематизированно, с алгоритмом дифференциально-диагностического аспекта. Отражены последние достижения и перспективные исследования в диагностике рака легкого. Особое внимание уделено современным методам лечения рака легкого, показаниям и противопоказаниям к применению тех или иных методов лечения, особенно хирургического. Материал сопровождается подробными иллюстрациями.
Для ординаторов по специальностям «Хирургия» и «Онкология».

свернуть

Дополнительные материалы

Ещё больше материалов после регистрации

В этом разделе еще нет дополнительных материалов, будьте первыми.
В этом разделе еще нет дополнительных материалов, будьте первыми.
В этом разделе еще нет дополнительных материалов, будьте первыми.
Добавить материал

Похожие книги