Размер шрифта:
Цвета сайта:
Изображения:
 

Ультразвуковая диагностика плевральных выпотов

Читать отрывок
Подписка
Скачать PDF
Читать отрывок
Сафонов Д. В. Ультразвуковая диагностика плевральных выпотов / Д. В. Сафонов, Б. Е. Шахов. - М. : Видар-М, 2011. - 104 c. - ISBN 9785884291539. - Текст : электронный // ЭБС "Букап" : [сайт]. - URL : https://www.books-up.ru/ru/book/ultrazvukovaya-diagnostika-plevralnyh-vypotov-11435637/ (дата обращения: 06.05.2026). - Режим доступа : по подписке.
Аннотация

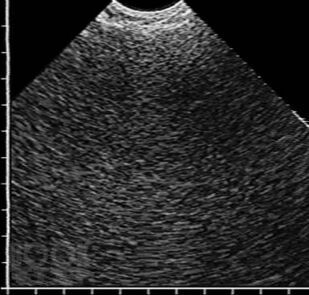
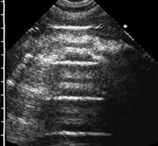
В учебном пособии в практическом аспекте изложены вопросы ультразвуковой диагностики воспалительных заболеваний легких: приведены методика исследования и нормальная эхографическая картина грудной клетки, подробно освещены ультразвуковая семиотика и дифференциальная диагностика пневмоний, в том числе деструктивных, абсцессов и гангрены легкого, для каждого из них выделены диагностически значимые эхопризнаки. Впервые представлена эхосемиотика пневмоний в зависимости от степени тяжести воспалительной инфильтрации, а также абсцессов легкого в зависимости от эффективности спонтанного дренирования его полости бронхами. Пособие иллюстрировано большим количеством эхограмм, отображающих основные диагностические признаки рассматриваемых заболеваний.
Предназначено для врачей ультразвуковой диагностики, рентгенологов, пульмонологов, торакальных хирургов.

свернуть
Дополнительные материалы
Изображения 94

Ещё больше материалов после регистрации

Видео 0
В этом разделе еще нет дополнительных материалов, будьте первыми.
Аудио 0
В этом разделе еще нет дополнительных материалов, будьте первыми.
Документы 0
В этом разделе еще нет дополнительных материалов, будьте первыми.
Добавить материал
Сафонов Д. В. Ультразвуковая диагностика плевральных выпотов / Д. В. Сафонов, Б. Е. Шахов. - М. : Видар-М, 2011. - 104 c. - ISBN 9785884291539. - Текст : электронный // ЭБС "Букап" : [сайт]. - URL : https://www.books-up.ru/ru/book/ultrazvukovaya-diagnostika-plevralnyh-vypotov-11435637/ (дата обращения: 06.05.2026). - Режим доступа : по подписке.
Подписка
6 месяцев
12 месяцев
Скачать PDF
Читать отрывок

В учебном пособии в практическом аспекте изложены вопросы ультразвуковой диагностики воспалительных заболеваний легких: приведены методика исследования и нормальная эхографическая картина грудной клетки, подробно освещены ультразвуковая семиотика и дифференциальная диагностика пневмоний, в том числе деструктивных, абсцессов и гангрены легкого, для каждого из них выделены диагностически значимые эхопризнаки. Впервые представлена эхосемиотика пневмоний в зависимости от степени тяжести воспалительной инфильтрации, а также абсцессов легкого в зависимости от эффективности спонтанного дренирования его полости бронхами. Пособие иллюстрировано большим количеством эхограмм, отображающих основные диагностические признаки рассматриваемых заболеваний.
Предназначено для врачей ультразвуковой диагностики, рентгенологов, пульмонологов, торакальных хирургов.

свернуть

Дополнительные материалы

Ещё больше материалов после регистрации

В этом разделе еще нет дополнительных материалов, будьте первыми.
В этом разделе еще нет дополнительных материалов, будьте первыми.
В этом разделе еще нет дополнительных материалов, будьте первыми.
Добавить материал

Похожие книги