Размер шрифта:
Цвета сайта:
Изображения:
 

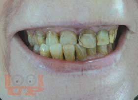
Проявления приема ингаляционных гормональных препаратов в полости рта при бронхиальной астме

Большая медицинская библиотека
Читать отрывок
Подписка
Читать отрывок
Чуваркова И. М. Проявления приема ингаляционных гормональных препаратов в полости рта при бронхиальной астме : монография / И. М. Чуваркова, Л. Н. Казарина. - Н. Новгород : Издательство ПИМУ (НижГМА), 2017. - 78 c. - ISBN 9785703212271. - Текст : электронный // ЭБС "Букап" : [сайт]. - URL : https://www.books-up.ru/ru/book/proyavleniya-priema-ingalyacionnyh-gormonalnyh-preparatov-v-polosti-rta-pri-bronhialnoj-astme-13006089/ (дата обращения: 02.05.2026). - Режим доступа : по подписке.
Аннотация

Представлена авторская концепция анализа проявлений (клинических, микробиологических, иммунологических) осложнений в полости рта у больных бронхиальной астмой, получающих ингаляционную гормональную терапию. Рассмотрена зависимость проявлений осложнений от таких факторов, как длительность заболевания и стаж приема ингаляционных гормональных препаратов. Предложены схемы комплексного лечения осложнений.
Для врачей стоматологов, а также терапевтов и пульмонологов.

свернуть
Дополнительные материалы
Изображения 21

Ещё больше материалов после регистрации

Видео 0
В этом разделе еще нет дополнительных материалов, будьте первыми.
Аудио 0
В этом разделе еще нет дополнительных материалов, будьте первыми.
Документы 0
В этом разделе еще нет дополнительных материалов, будьте первыми.
Добавить материал
Большая медицинская библиотека
Чуваркова И. М. Проявления приема ингаляционных гормональных препаратов в полости рта при бронхиальной астме : монография / И. М. Чуваркова, Л. Н. Казарина. - Н. Новгород : Издательство ПИМУ (НижГМА), 2017. - 78 c. - ISBN 9785703212271. - Текст : электронный // ЭБС "Букап" : [сайт]. - URL : https://www.books-up.ru/ru/book/proyavleniya-priema-ingalyacionnyh-gormonalnyh-preparatov-v-polosti-rta-pri-bronhialnoj-astme-13006089/ (дата обращения: 02.05.2026). - Режим доступа : по подписке.
Подписка
12 месяцев
Читать отрывок

Представлена авторская концепция анализа проявлений (клинических, микробиологических, иммунологических) осложнений в полости рта у больных бронхиальной астмой, получающих ингаляционную гормональную терапию. Рассмотрена зависимость проявлений осложнений от таких факторов, как длительность заболевания и стаж приема ингаляционных гормональных препаратов. Предложены схемы комплексного лечения осложнений.
Для врачей стоматологов, а также терапевтов и пульмонологов.

свернуть

Дополнительные материалы

Ещё больше материалов после регистрации

В этом разделе еще нет дополнительных материалов, будьте первыми.
В этом разделе еще нет дополнительных материалов, будьте первыми.
В этом разделе еще нет дополнительных материалов, будьте первыми.
Добавить материал

Похожие книги