Размер шрифта:
Цвета сайта:
Изображения:
 

Пелоиды в терапии воспалительных заболеваний легких

3

Читать отрывок
Подписка
Читать отрывок
Зарипова Т. Н. Пелоиды в терапии воспалительных заболеваний легких / Т. Н. Зарипова, И. И. Антипова, И. Н. Смирнова. - Томск : STT, 2014. - 128 c. - ISBN 9785936290640. - Текст : электронный // ЭБС "Букап" : [сайт]. - URL : https://www.books-up.ru/ru/book/peloidy-v-terapii-vospalitelnyh-zabolevanij-legkih-2095604/ (дата обращения: 12.05.2026). - Режим доступа : по подписке.
Аннотация

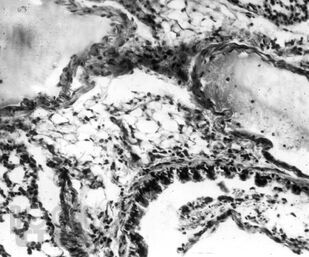
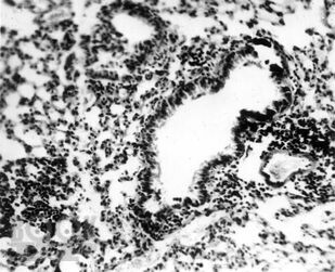
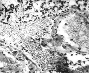
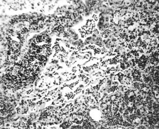
Книга посвящена вопросу лечения пелоидами очень распространенной патологии – болезней органов дыхания: острой пневмонии, хронического бронхита, бронхиальной астмы. В эксперименте и на клиническом материале показано воздействие грязелечения на воспалительный процесс, состояние иммунитета и адаптации, бронхиальную проходимость. Дана эффективность назначения иловых сульфидных, сапропелевых грязей и торфов у больных с болезнями органов дыхания. Рассмотрены вопросы переносимости этими больными грязелечения и возможности оптимизации его результатов. Приведены материалы по использованию средства «Тонус плюс», сочетающего в себе биологически активные компоненты двух видов грязей, набора трав и солевых носителей. Книга предназначена для физиотерапевтов, курортологов, пульмонологов, врачей общей практики. Это первый обобщенный труд по использованию грязелечения в пульмонологии. Его данные могут быть использованы не только в практической работе врачей, но и в учебном процессе при подготовке физиотерапевтов и курортологов.

свернуть
Дополнительные материалы
Изображения 5

Ещё больше материалов после регистрации

Видео 0
В этом разделе еще нет дополнительных материалов, будьте первыми.
Аудио 0
В этом разделе еще нет дополнительных материалов, будьте первыми.
Документы 0
В этом разделе еще нет дополнительных материалов, будьте первыми.
Добавить материал
Зарипова Т. Н. Пелоиды в терапии воспалительных заболеваний легких / Т. Н. Зарипова, И. И. Антипова, И. Н. Смирнова. - Томск : STT, 2014. - 128 c. - ISBN 9785936290640. - Текст : электронный // ЭБС "Букап" : [сайт]. - URL : https://www.books-up.ru/ru/book/peloidy-v-terapii-vospalitelnyh-zabolevanij-legkih-2095604/ (дата обращения: 12.05.2026). - Режим доступа : по подписке.
Подписка
6 месяцев
12 месяцев
Читать отрывок

Книга посвящена вопросу лечения пелоидами очень распространенной патологии – болезней органов дыхания: острой пневмонии, хронического бронхита, бронхиальной астмы. В эксперименте и на клиническом материале показано воздействие грязелечения на воспалительный процесс, состояние иммунитета и адаптации, бронхиальную проходимость. Дана эффективность назначения иловых сульфидных, сапропелевых грязей и торфов у больных с болезнями органов дыхания. Рассмотрены вопросы переносимости этими больными грязелечения и возможности оптимизации его результатов. Приведены материалы по использованию средства «Тонус плюс», сочетающего в себе биологически активные компоненты двух видов грязей, набора трав и солевых носителей. Книга предназначена для физиотерапевтов, курортологов, пульмонологов, врачей общей практики. Это первый обобщенный труд по использованию грязелечения в пульмонологии. Его данные могут быть использованы не только в практической работе врачей, но и в учебном процессе при подготовке физиотерапевтов и курортологов.

свернуть

Дополнительные материалы

Ещё больше материалов после регистрации

В этом разделе еще нет дополнительных материалов, будьте первыми.
В этом разделе еще нет дополнительных материалов, будьте первыми.
В этом разделе еще нет дополнительных материалов, будьте первыми.
Добавить материал

Похожие книги