Размер шрифта:
Цвета сайта:
Изображения:
 

Современные аспекты ведения пациентов с фиброзирующими альвеолитами

Большая медицинская библиотека
Читать отрывок
Подписка
Читать отрывок
Современные аспекты ведения пациентов с фиброзирующими альвеолитами : учебное пособие / И. В. Демко, Н. В. Гордеева, М. Г. Мамаева и др. - Красноярск : КрасГМУ, 2022. - 154 c. - Текст : электронный // ЭБС "Букап" : [сайт]. - URL : https://www.books-up.ru/ru/book/sovremennye-aspekty-vedeniya-pacientov-s-fibroziruyucshimi-alveolitami-19703212/ (дата обращения: 28.05.2026). - Режим доступа : по подписке.
Аннотация

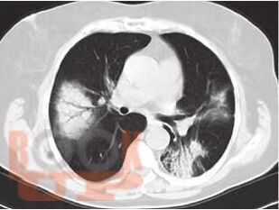
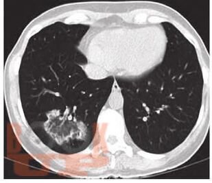
В настоящем учебном пособии освещены принципы ведения пациентов диссеминированными заболеваниями легких. Обсуждаются вопросы этиологии, патогенеза, диагностики, а также основные методы лечения пациентов с фиброзирующими альвеолитами. Учебное пособие предназначено для врачей общей практики, участковых терапевтов, аллергологов, пульмонологов.

свернуть
Дополнительные материалы
Изображения 19

Ещё больше материалов после регистрации

Видео 0
В этом разделе еще нет дополнительных материалов, будьте первыми.
Аудио 0
В этом разделе еще нет дополнительных материалов, будьте первыми.
Документы 0
В этом разделе еще нет дополнительных материалов, будьте первыми.
Добавить материал
Большая медицинская библиотека
Современные аспекты ведения пациентов с фиброзирующими альвеолитами : учебное пособие / И. В. Демко, Н. В. Гордеева, М. Г. Мамаева и др. - Красноярск : КрасГМУ, 2022. - 154 c. - Текст : электронный // ЭБС "Букап" : [сайт]. - URL : https://www.books-up.ru/ru/book/sovremennye-aspekty-vedeniya-pacientov-s-fibroziruyucshimi-alveolitami-19703212/ (дата обращения: 28.05.2026). - Режим доступа : по подписке.
Подписка
6 месяцев
12 месяцев
Читать отрывок

В настоящем учебном пособии освещены принципы ведения пациентов диссеминированными заболеваниями легких. Обсуждаются вопросы этиологии, патогенеза, диагностики, а также основные методы лечения пациентов с фиброзирующими альвеолитами. Учебное пособие предназначено для врачей общей практики, участковых терапевтов, аллергологов, пульмонологов.

свернуть

Дополнительные материалы

Ещё больше материалов после регистрации

В этом разделе еще нет дополнительных материалов, будьте первыми.
В этом разделе еще нет дополнительных материалов, будьте первыми.
В этом разделе еще нет дополнительных материалов, будьте первыми.
Добавить материал

Похожие книги