Размер шрифта:
Цвета сайта:
Изображения:
 

Гранулематозные заболевания легких

Большая медицинская библиотека
Читать отрывок
Подписка
Читать отрывок
Гранулематозные заболевания легких : учебное пособие / И. В. Демко, Н. В. Гордеева, М. Г. Мамаева и др. - Красноярск : КрасГМУ, 2022. - 167 c. - Текст : электронный // ЭБС "Букап" : [сайт]. - URL : https://www.books-up.ru/ru/book/granulematoznye-zabolevaniya-legkih-19634258/ (дата обращения: 17.04.2026). - Режим доступа : по подписке.
Аннотация

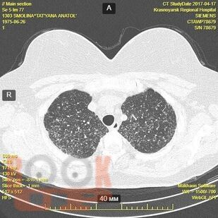
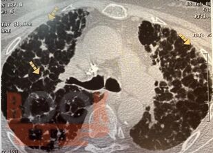
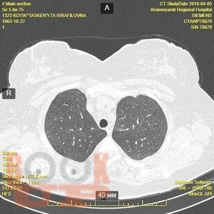
Учебное пособие предназначено для врачей общей практики, участковых терапевтов, аллергологов, пульмонологов. В настоящем учебном пособии освещены принципы ведения пациентов с диссеминированными заболеваниями легких. Обсуждаются вопросы этиологии, патогенеза, диагностики, а также основные методы лечения.

свернуть
Дополнительные материалы
Изображения 20

Ещё больше материалов после регистрации

Видео 0
В этом разделе еще нет дополнительных материалов, будьте первыми.
Аудио 0
В этом разделе еще нет дополнительных материалов, будьте первыми.
Документы 0
В этом разделе еще нет дополнительных материалов, будьте первыми.
Добавить материал
Большая медицинская библиотека
Гранулематозные заболевания легких : учебное пособие / И. В. Демко, Н. В. Гордеева, М. Г. Мамаева и др. - Красноярск : КрасГМУ, 2022. - 167 c. - Текст : электронный // ЭБС "Букап" : [сайт]. - URL : https://www.books-up.ru/ru/book/granulematoznye-zabolevaniya-legkih-19634258/ (дата обращения: 17.04.2026). - Режим доступа : по подписке.
Подписка
6 месяцев
12 месяцев
Читать отрывок

Учебное пособие предназначено для врачей общей практики, участковых терапевтов, аллергологов, пульмонологов. В настоящем учебном пособии освещены принципы ведения пациентов с диссеминированными заболеваниями легких. Обсуждаются вопросы этиологии, патогенеза, диагностики, а также основные методы лечения.

свернуть

Дополнительные материалы

Ещё больше материалов после регистрации

В этом разделе еще нет дополнительных материалов, будьте первыми.
В этом разделе еще нет дополнительных материалов, будьте первыми.
В этом разделе еще нет дополнительных материалов, будьте первыми.
Добавить материал

Похожие книги