Размер шрифта:
Цвета сайта:
Изображения:
 

Интерстициальные заболевания легких в практике терапевта

Большая медицинская библиотека
Читать отрывок
Подписка
Читать отрывок
Интерстициальные заболевания легких в практике терапевта : Учебное пособие / Е. Г. Черкесова, Л. Н. Шилова, М. В. Левкина и др. - Волгоград : ВолгГМУ, 2024. - 96 c. - ISBN 9785965209538. - Текст : электронный // ЭБС "Букап" : [сайт]. - URL : https://www.books-up.ru/ru/book/intersticialnye-zabolevaniya-legkih-v-praktike-terapevta-17674577/ (дата обращения: 03.05.2026). - Режим доступа : по подписке.
Аннотация

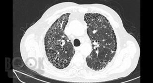
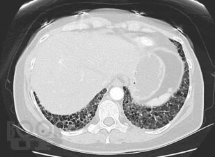
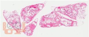
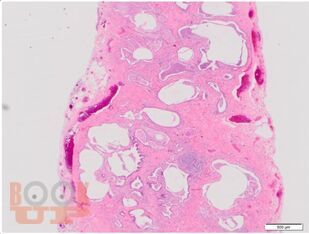
В учебном пособии рассматриваются актуальные и современные вопросы диагностики и лечения интерстициальных заболеваний легких.

Учебное пособие предназначено для студентов V, VI курсов медицинских вузов, обучающихся по специальности «Лечебное дело».

свернуть
Дополнительные материалы
Изображения 19

Ещё больше материалов после регистрации

Видео 0
В этом разделе еще нет дополнительных материалов, будьте первыми.
Аудио 0
В этом разделе еще нет дополнительных материалов, будьте первыми.
Документы 0
В этом разделе еще нет дополнительных материалов, будьте первыми.
Добавить материал
Большая медицинская библиотека
Интерстициальные заболевания легких в практике терапевта : Учебное пособие / Е. Г. Черкесова, Л. Н. Шилова, М. В. Левкина и др. - Волгоград : ВолгГМУ, 2024. - 96 c. - ISBN 9785965209538. - Текст : электронный // ЭБС "Букап" : [сайт]. - URL : https://www.books-up.ru/ru/book/intersticialnye-zabolevaniya-legkih-v-praktike-terapevta-17674577/ (дата обращения: 03.05.2026). - Режим доступа : по подписке.
Подписка
6 месяцев
12 месяцев
Читать отрывок

В учебном пособии рассматриваются актуальные и современные вопросы диагностики и лечения интерстициальных заболеваний легких.

Учебное пособие предназначено для студентов V, VI курсов медицинских вузов, обучающихся по специальности «Лечебное дело».

свернуть

Дополнительные материалы

Ещё больше материалов после регистрации

В этом разделе еще нет дополнительных материалов, будьте первыми.
В этом разделе еще нет дополнительных материалов, будьте первыми.
В этом разделе еще нет дополнительных материалов, будьте первыми.
Добавить материал

Похожие книги