Размер шрифта:
Цвета сайта:
Изображения:
 

Диагностика и хирургическое лечение рака легкого

Большая медицинская библиотека
Читать отрывок
Подписка
Читать отрывок
Диагностика и хирургическое лечение рака легкого : учебное пособие / А. И. Иванов, Н. В. Коваленко, В. В. Жаворонкова и др. - Волгоград : ВолгГМУ, 2021. - 40 c. - ISBN 9785965206599. - Текст : электронный // ЭБС "Букап" : [сайт]. - URL : https://www.books-up.ru/ru/book/diagnostika-i-hirurgicheskoe-lechenie-raka-legkogo-13828116/ (дата обращения: 25.05.2026). - Режим доступа : по подписке.
Аннотация

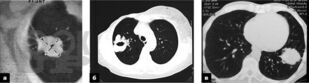
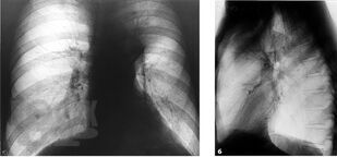
Учебное пособие основано на современных данных по диагностике и лечению рака легкого. Оно содержит информацию об эпидемиологии, этиологии, клинических проявлениях и профилактике заболевания.
В издании изложены сведения о современных методах исследования, применяемых для диагностики, оценки стадии заболевания с учетом Международной классификации по системе TNM и выбора оптимального метода лечения.
Учебное пособие предназначено для студентов и клинических ординаторов, обучающихся по специальности «Онкология» и «Хирургия».

свернуть
Дополнительные материалы
Видео 0
В этом разделе еще нет дополнительных материалов, будьте первыми.
Аудио 0
В этом разделе еще нет дополнительных материалов, будьте первыми.
Документы 0
В этом разделе еще нет дополнительных материалов, будьте первыми.
Добавить материал
Большая медицинская библиотека
Диагностика и хирургическое лечение рака легкого : учебное пособие / А. И. Иванов, Н. В. Коваленко, В. В. Жаворонкова и др. - Волгоград : ВолгГМУ, 2021. - 40 c. - ISBN 9785965206599. - Текст : электронный // ЭБС "Букап" : [сайт]. - URL : https://www.books-up.ru/ru/book/diagnostika-i-hirurgicheskoe-lechenie-raka-legkogo-13828116/ (дата обращения: 25.05.2026). - Режим доступа : по подписке.
Подписка
6 месяцев
12 месяцев
Читать отрывок

Учебное пособие основано на современных данных по диагностике и лечению рака легкого. Оно содержит информацию об эпидемиологии, этиологии, клинических проявлениях и профилактике заболевания.
В издании изложены сведения о современных методах исследования, применяемых для диагностики, оценки стадии заболевания с учетом Международной классификации по системе TNM и выбора оптимального метода лечения.
Учебное пособие предназначено для студентов и клинических ординаторов, обучающихся по специальности «Онкология» и «Хирургия».

свернуть

Дополнительные материалы

В этом разделе еще нет дополнительных материалов, будьте первыми.
В этом разделе еще нет дополнительных материалов, будьте первыми.
В этом разделе еще нет дополнительных материалов, будьте первыми.
Добавить материал

Похожие книги