Размер шрифта:
Цвета сайта:
Изображения:
 

Клиническая эхокардиография: основной курс

Читать отрывок
Подписка
Печатная версия
Читать отрывок
Домницкая Т. М. Клиническая эхокардиография: основной курс / Т. М. Домницкая. - М. : Логосфера, 2021. - 376 c. - ISBN 9785986570723. - Текст : электронный // ЭБС "Букап" : [сайт]. - URL : https://www.books-up.ru/ru/book/klinicheskaya-ehokardiografiya-osnovnoj-kurs-12788009/ (дата обращения: 28.02.2026). - Режим доступа : по подписке.
Аннотация

Издание является кратким практическим руководством по клинической эхокардиографии и содержит основные сведения о современных методах ультразвукового исследования сердца. В книге сформулированы показания к проведению исследования, а также преимущества и ограничения методов исследования. Представлены эхокардиографические признаки патологии сердца и принципы анализа результатов исследований. Получив доступ к электронной версии, читатель может посмотреть видеоизображения различных патологий сердца в режиме реального времени, что позволит начинающему специалисту совершествоваться в диагностике.
Книга предназначена для врачей функциональной и ультразвуковой диагностики, специалистов по эхокардиографии, кардиологов поликлиник и стационаров, терапевтов, клинических ординаторов, студентов медицинских высших учебных заведений.

свернуть
Дополнительные материалы
Изображения 0
В этом разделе еще нет дополнительных материалов, будьте первыми.
Видео 107
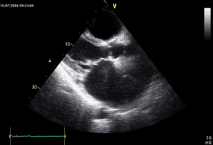
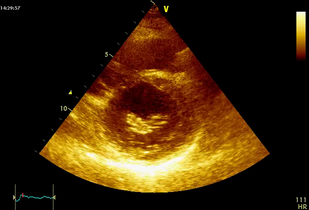
  • Обложка: Ревматический тяжелый митральный стеноз (рис. 7.2)
  • Обложка: Ревматический умеренный митральный стеноз (рис. 7.3)
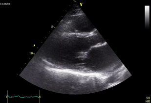
  • Обложка: Ревматический митрально-аортальный порок сердца с преобладанием митрального стеноза (рис. 7.7)
  • Обложка: Митральный порок сердца с преобладанием митрального стеноза при системной красной волчанке (рис. 7.8)

Ещё больше материалов после регистрации

Аудио 0
В этом разделе еще нет дополнительных материалов, будьте первыми.
Документы 0
В этом разделе еще нет дополнительных материалов, будьте первыми.
Добавить материал
Домницкая Т. М. Клиническая эхокардиография: основной курс / Т. М. Домницкая. - М. : Логосфера, 2021. - 376 c. - ISBN 9785986570723. - Текст : электронный // ЭБС "Букап" : [сайт]. - URL : https://www.books-up.ru/ru/book/klinicheskaya-ehokardiografiya-osnovnoj-kurs-12788009/ (дата обращения: 28.02.2026). - Режим доступа : по подписке.
Подписка
6 месяцев
12 месяцев
Печатная версия
Читать отрывок

Издание является кратким практическим руководством по клинической эхокардиографии и содержит основные сведения о современных методах ультразвукового исследования сердца. В книге сформулированы показания к проведению исследования, а также преимущества и ограничения методов исследования. Представлены эхокардиографические признаки патологии сердца и принципы анализа результатов исследований. Получив доступ к электронной версии, читатель может посмотреть видеоизображения различных патологий сердца в режиме реального времени, что позволит начинающему специалисту совершествоваться в диагностике.
Книга предназначена для врачей функциональной и ультразвуковой диагностики, специалистов по эхокардиографии, кардиологов поликлиник и стационаров, терапевтов, клинических ординаторов, студентов медицинских высших учебных заведений.

свернуть

Дополнительные материалы

В этом разделе еще нет дополнительных материалов, будьте первыми.
  • Обложка: Ревматический тяжелый митральный стеноз (рис. 7.2)
  • Обложка: Ревматический умеренный митральный стеноз (рис. 7.3)
  • Обложка: Ревматический митрально-аортальный порок сердца с преобладанием митрального стеноза (рис. 7.7)
  • Обложка: Митральный порок сердца с преобладанием митрального стеноза при системной красной волчанке (рис. 7.8)

Ещё больше материалов после регистрации

В этом разделе еще нет дополнительных материалов, будьте первыми.
В этом разделе еще нет дополнительных материалов, будьте первыми.
Добавить материал

Похожие книги