Размер шрифта:
Цвета сайта:
Изображения:
 

Легочная гипертензия

3

Читать отрывок
Подписка
Печатная версия
Читать отрывок
Чазова И. Е. Легочная гипертензия / И. Е. Чазова, Т. В. Мартынюк. - М. : Практика, 2015. - 928 c. - ISBN 9785898161385. - Текст : электронный // ЭБС "Букап" : [сайт]. - URL : https://www.books-up.ru/ru/book/legochnaya-gipertenziya-79281/ (дата обращения: 09.05.2026). - Режим доступа : по подписке.
Аннотация

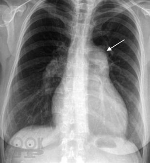
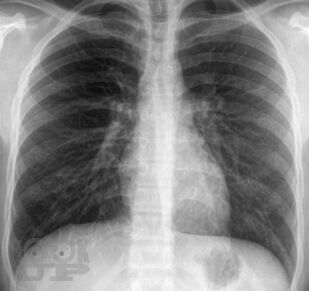
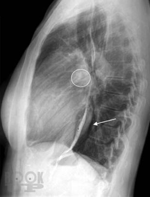
Монография посвящена проблемам диагностики и лечения легочной гипертензии. Термином «легочная гипертензия» объединяют группу нозологий с общим диагностическим критерием — повышением давления в легочной артерии. В работе представлены вопросы патогенеза и генетические основы легочной гипертензии, дана ее современная классификация, описаны формы легочной артериальной гипертензии, легочной гипертензии вследствие патологии левых отделов сердца, легких или хронической тромбоэмболии легочной артерии. Дан диагностический алгоритм, включающий оптимальные методы диагностики. Монография представляет современные возможности лечения легочной гипертензии, знакомит с данными ключевых рандомизированных клинических исследований и позволяет заглянуть в будущее. Работа создана специалистами ведущих экспертных центров нашей страны во главе с ФГБУ «Российский кардиологический научно-производственный комплекс» МЗ РФ и предназначена для кардиологов, пульмонологов, терапевтов, ревматологов, а также для практикующих врачей, имеющих отношение к обследованию и лечению больных с легочной гипертензией.

свернуть
Дополнительные материалы
Изображения 204

Ещё больше материалов после регистрации

Видео 0
В этом разделе еще нет дополнительных материалов, будьте первыми.
Аудио 0
В этом разделе еще нет дополнительных материалов, будьте первыми.
Документы 0
В этом разделе еще нет дополнительных материалов, будьте первыми.
Добавить материал
Чазова И. Е. Легочная гипертензия / И. Е. Чазова, Т. В. Мартынюк. - М. : Практика, 2015. - 928 c. - ISBN 9785898161385. - Текст : электронный // ЭБС "Букап" : [сайт]. - URL : https://www.books-up.ru/ru/book/legochnaya-gipertenziya-79281/ (дата обращения: 09.05.2026). - Режим доступа : по подписке.
Подписка
3 месяца
6 месяцев
12 месяцев
Печатная версия
Читать отрывок

Монография посвящена проблемам диагностики и лечения легочной гипертензии. Термином «легочная гипертензия» объединяют группу нозологий с общим диагностическим критерием — повышением давления в легочной артерии. В работе представлены вопросы патогенеза и генетические основы легочной гипертензии, дана ее современная классификация, описаны формы легочной артериальной гипертензии, легочной гипертензии вследствие патологии левых отделов сердца, легких или хронической тромбоэмболии легочной артерии. Дан диагностический алгоритм, включающий оптимальные методы диагностики. Монография представляет современные возможности лечения легочной гипертензии, знакомит с данными ключевых рандомизированных клинических исследований и позволяет заглянуть в будущее. Работа создана специалистами ведущих экспертных центров нашей страны во главе с ФГБУ «Российский кардиологический научно-производственный комплекс» МЗ РФ и предназначена для кардиологов, пульмонологов, терапевтов, ревматологов, а также для практикующих врачей, имеющих отношение к обследованию и лечению больных с легочной гипертензией.

свернуть

Дополнительные материалы

Ещё больше материалов после регистрации

В этом разделе еще нет дополнительных материалов, будьте первыми.
В этом разделе еще нет дополнительных материалов, будьте первыми.
В этом разделе еще нет дополнительных материалов, будьте первыми.
Добавить материал

Похожие книги