Размер шрифта:
Цвета сайта:
Изображения:
 

Врожденные пороки развития костей голени у детей

Читать отрывок
Подписка
Читать отрывок
Баиндурашвили А. Г. Врожденные пороки развития костей голени у детей : монография / А. Г. Баиндурашвили, Л. Ф. Каримова. - СПб. : СпецЛит, 2012. - 208 c. - ISBN 9785299004854. - Текст : электронный // ЭБС "Букап" : [сайт]. - URL : https://www.books-up.ru/ru/book/vrozhdennye-poroki-razvitiya-kostej-goleni-u-detej-4356322/ (дата обращения: 02.05.2026). - Режим доступа : по подписке.
Аннотация

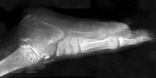
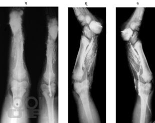
В монографии излагаются результаты многолетнихисследований, проведенныхв научно-исследовательском детском ортопедическом институте им. Г. И. Турнера. Рассматриваются вопросы клиники, диагностики и лечения врожденныхпороков развития костей голени у детей в возрасте от 3 мес. до 15 лет и старше. Описываются новые методики операций, основанные на сберегательной тактике, адекватные различным вариантам порока, позволяющие восстановить форму и функции конечности, техразновидностей порока развития костей голени, которые до настоящего времени считались неоперабельными и подлежали только ампутации. Монография предназначена для ортопедов, травматологов и хирургов.

свернуть
Дополнительные материалы
Изображения 74

Ещё больше материалов после регистрации

Видео 0
В этом разделе еще нет дополнительных материалов, будьте первыми.
Аудио 0
В этом разделе еще нет дополнительных материалов, будьте первыми.
Документы 0
В этом разделе еще нет дополнительных материалов, будьте первыми.
Добавить материал
Баиндурашвили А. Г. Врожденные пороки развития костей голени у детей : монография / А. Г. Баиндурашвили, Л. Ф. Каримова. - СПб. : СпецЛит, 2012. - 208 c. - ISBN 9785299004854. - Текст : электронный // ЭБС "Букап" : [сайт]. - URL : https://www.books-up.ru/ru/book/vrozhdennye-poroki-razvitiya-kostej-goleni-u-detej-4356322/ (дата обращения: 02.05.2026). - Режим доступа : по подписке.
Подписка
12 месяцев
Читать отрывок

В монографии излагаются результаты многолетнихисследований, проведенныхв научно-исследовательском детском ортопедическом институте им. Г. И. Турнера. Рассматриваются вопросы клиники, диагностики и лечения врожденныхпороков развития костей голени у детей в возрасте от 3 мес. до 15 лет и старше. Описываются новые методики операций, основанные на сберегательной тактике, адекватные различным вариантам порока, позволяющие восстановить форму и функции конечности, техразновидностей порока развития костей голени, которые до настоящего времени считались неоперабельными и подлежали только ампутации. Монография предназначена для ортопедов, травматологов и хирургов.

свернуть

Дополнительные материалы

Ещё больше материалов после регистрации

В этом разделе еще нет дополнительных материалов, будьте первыми.
В этом разделе еще нет дополнительных материалов, будьте первыми.
В этом разделе еще нет дополнительных материалов, будьте первыми.
Добавить материал

Похожие книги