Размер шрифта:
Цвета сайта:
Изображения:
 

Редкие клинические случаи в неврологии (случаи из практики)

Читать отрывок
Подписка
Печатная версия
Читать отрывок
Пономарев В. В. Редкие клинические случаи в неврологии (случаи из практики) : руководство для врачей / В. В. Пономарев. - СПб. : Фолиант, 2020. - 352 c. - ISBN 9785939293105. - Текст : электронный // ЭБС "Букап" : [сайт]. - URL : https://www.books-up.ru/ru/book/redkie-klinicheskie-sluchai-v-nevrologii-sluchai-iz-praktiki-13174005/ (дата обращения: 11.03.2026). - Режим доступа : по подписке.
Аннотация

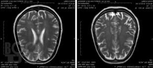
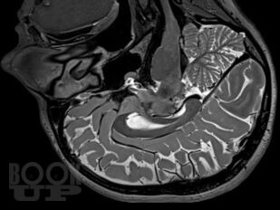
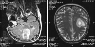
В руководстве представлены сведения о редко встречающихся (в том числе орфанных) неврологических синдромах и болезнях, сгруппированных в 4 главы в зависимости от этиологии: аутоиммунные и воспалительные; врожденные пороки развития нервной системы, наследственные и дисметаболические; опухоли нервной системы и паранеопластические синдромы; нейродегенеративные заболевания. В отношении каждой болезни представлены эпонимические сведения, шифр по МКБ-10, эпидемиология, этиология, патогенез, патоморфология, клиническая картина, диагностика, дифференциальная диагностика, лечение и прогноз. Все разделы книги иллюстрированы собственными клиническими случаями и результатами их обследований.
Для неврологов, нейрохирургов и врачей других специальностей, интересующихся вопросами диагностики и выбора консервативного или оперативного лечения при этих редких патологических состояниях.

свернуть
Дополнительные материалы
Изображения 81

Ещё больше материалов после регистрации

Видео 0
В этом разделе еще нет дополнительных материалов, будьте первыми.
Аудио 0
В этом разделе еще нет дополнительных материалов, будьте первыми.
Документы 0
В этом разделе еще нет дополнительных материалов, будьте первыми.
Добавить материал
Пономарев В. В. Редкие клинические случаи в неврологии (случаи из практики) : руководство для врачей / В. В. Пономарев. - СПб. : Фолиант, 2020. - 352 c. - ISBN 9785939293105. - Текст : электронный // ЭБС "Букап" : [сайт]. - URL : https://www.books-up.ru/ru/book/redkie-klinicheskie-sluchai-v-nevrologii-sluchai-iz-praktiki-13174005/ (дата обращения: 11.03.2026). - Режим доступа : по подписке.
Подписка
1 месяц
3 месяца
6 месяцев
12 месяцев
Печатная версия
Читать отрывок

В руководстве представлены сведения о редко встречающихся (в том числе орфанных) неврологических синдромах и болезнях, сгруппированных в 4 главы в зависимости от этиологии: аутоиммунные и воспалительные; врожденные пороки развития нервной системы, наследственные и дисметаболические; опухоли нервной системы и паранеопластические синдромы; нейродегенеративные заболевания. В отношении каждой болезни представлены эпонимические сведения, шифр по МКБ-10, эпидемиология, этиология, патогенез, патоморфология, клиническая картина, диагностика, дифференциальная диагностика, лечение и прогноз. Все разделы книги иллюстрированы собственными клиническими случаями и результатами их обследований.
Для неврологов, нейрохирургов и врачей других специальностей, интересующихся вопросами диагностики и выбора консервативного или оперативного лечения при этих редких патологических состояниях.

свернуть

Дополнительные материалы

Ещё больше материалов после регистрации

В этом разделе еще нет дополнительных материалов, будьте первыми.
В этом разделе еще нет дополнительных материалов, будьте первыми.
В этом разделе еще нет дополнительных материалов, будьте первыми.
Добавить материал

Похожие книги