Размер шрифта:
Цвета сайта:
Изображения:
 

Многоочаговые поражения головного мозга. Вопросы диагностики и лечения

Большая медицинская библиотека
Читать отрывок
Подписка
Читать отрывок
Многоочаговые поражения головного мозга. Вопросы диагностики и лечения : учебное пособие / П. Г. Шнякин, П. Г. Руденко, Н. В. Исаева и др. - Красноярск : КрасГМУ, 2022. - 281 c. - Текст : электронный // ЭБС "Букап" : [сайт]. - URL : https://www.books-up.ru/ru/book/mnogoochagovye-porazheniya-golovnogo-mozga-voprosy-diagnostiki-i-lecheniya-19644461/ (дата обращения: 28.05.2026). - Режим доступа : по подписке.
Аннотация

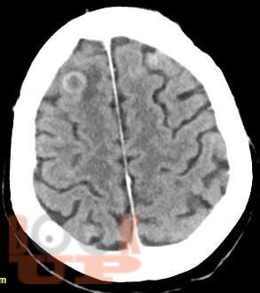
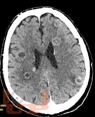
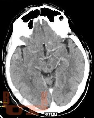
Учебное пособие освещает вопросы многоочагового поражения головного мозга. Рассматриваются различные нейрохирургические и неврологические заболевания с очагами поражения головного мозга в количестве более двух, такие как опухоли головного мозга (первичные и метастатические), воспалительные заболевания, демиелинизирующие заболевания, паразитарное поражение и другие патологии. В книге приведены алгоритмы дифференциальной диагностики данных заболеваний, начиная от особенностей клинической картины до специфики изменений сигнала в разных режимах МРТ. Также обозначена тактика ведения и прогноз заболеваний.
Учебное пособие рекомендуется для врачей многих специальностей, но прежде всего нейрохирургов, неврологов, рентгенологов, инфекционистов, врачей общей практики.

свернуть
Дополнительные материалы
Изображения 456

Ещё больше материалов после регистрации

Видео 0
В этом разделе еще нет дополнительных материалов, будьте первыми.
Аудио 0
В этом разделе еще нет дополнительных материалов, будьте первыми.
Документы 0
В этом разделе еще нет дополнительных материалов, будьте первыми.
Добавить материал
Большая медицинская библиотека
Многоочаговые поражения головного мозга. Вопросы диагностики и лечения : учебное пособие / П. Г. Шнякин, П. Г. Руденко, Н. В. Исаева и др. - Красноярск : КрасГМУ, 2022. - 281 c. - Текст : электронный // ЭБС "Букап" : [сайт]. - URL : https://www.books-up.ru/ru/book/mnogoochagovye-porazheniya-golovnogo-mozga-voprosy-diagnostiki-i-lecheniya-19644461/ (дата обращения: 28.05.2026). - Режим доступа : по подписке.
Подписка
6 месяцев
12 месяцев
Читать отрывок

Учебное пособие освещает вопросы многоочагового поражения головного мозга. Рассматриваются различные нейрохирургические и неврологические заболевания с очагами поражения головного мозга в количестве более двух, такие как опухоли головного мозга (первичные и метастатические), воспалительные заболевания, демиелинизирующие заболевания, паразитарное поражение и другие патологии. В книге приведены алгоритмы дифференциальной диагностики данных заболеваний, начиная от особенностей клинической картины до специфики изменений сигнала в разных режимах МРТ. Также обозначена тактика ведения и прогноз заболеваний.
Учебное пособие рекомендуется для врачей многих специальностей, но прежде всего нейрохирургов, неврологов, рентгенологов, инфекционистов, врачей общей практики.

свернуть

Дополнительные материалы

Ещё больше материалов после регистрации

В этом разделе еще нет дополнительных материалов, будьте первыми.
В этом разделе еще нет дополнительных материалов, будьте первыми.
В этом разделе еще нет дополнительных материалов, будьте первыми.
Добавить материал

Похожие книги