Размер шрифта:
Цвета сайта:
Изображения:
 

Новая коронавирусная инфекция COVID-19 в практике врача-невролога

Большая медицинская библиотека
Читать отрывок
Подписка
Читать отрывок
Новая коронавирусная инфекция COVID-19 в практике врача-невролога / М. А. Кутлубаев, Л. Р. Ахмадеева, К. З. Бахтиярова и др. - Уфа : БГМУ, 2020. - 72 c. - Текст : электронный // ЭБС "Букап" : [сайт]. - URL : https://www.books-up.ru/ru/book/novaya-koronavirusnaya-infekciya-covid-19-v-praktike-vracha-nevrologa-11731474/ (дата обращения: 10.05.2026). - Режим доступа : по подписке.
Аннотация

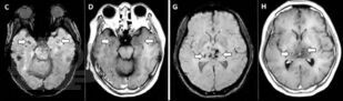
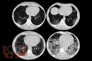
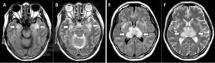
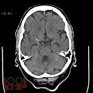
Пособие подготовлено в соответствии с требованиями ФГОС ВО по специальности 31.05.01 Лечебное дело, действующего учебного плана и рабочей программы (2020 г.) для изучения дисциплины «Неврология, нейрохирургия». В нем излагаются современные представления об этиопатогенезе новой коронавирусной инфекции COVID-19, подходы к ее диагностике и лечению, а также клинические особенности поражения нервной системы.
Отдельно рассмотрена организация медицинской помощи пациентам неврологического профиля в условиях распространения COVID-19. Уровень изложения материала соответствует современным требованиям и позволяет оптимизировать организацию и управление самостоятельной работой обучающихся. Пособие содержит тестовые задания и ситуационные задачи, которые помогут в изучении неврологической аспектов COVID-19.
Предназначено для обучающихся по основной образовательной программе высшего образования по специальности 31.05.01 Лечебное дело.

свернуть
Дополнительные материалы
Видео 0
В этом разделе еще нет дополнительных материалов, будьте первыми.
Аудио 0
В этом разделе еще нет дополнительных материалов, будьте первыми.
Документы 0
В этом разделе еще нет дополнительных материалов, будьте первыми.
Добавить материал
Большая медицинская библиотека
Новая коронавирусная инфекция COVID-19 в практике врача-невролога / М. А. Кутлубаев, Л. Р. Ахмадеева, К. З. Бахтиярова и др. - Уфа : БГМУ, 2020. - 72 c. - Текст : электронный // ЭБС "Букап" : [сайт]. - URL : https://www.books-up.ru/ru/book/novaya-koronavirusnaya-infekciya-covid-19-v-praktike-vracha-nevrologa-11731474/ (дата обращения: 10.05.2026). - Режим доступа : по подписке.
Подписка
6 месяцев
12 месяцев
Читать отрывок

Пособие подготовлено в соответствии с требованиями ФГОС ВО по специальности 31.05.01 Лечебное дело, действующего учебного плана и рабочей программы (2020 г.) для изучения дисциплины «Неврология, нейрохирургия». В нем излагаются современные представления об этиопатогенезе новой коронавирусной инфекции COVID-19, подходы к ее диагностике и лечению, а также клинические особенности поражения нервной системы.
Отдельно рассмотрена организация медицинской помощи пациентам неврологического профиля в условиях распространения COVID-19. Уровень изложения материала соответствует современным требованиям и позволяет оптимизировать организацию и управление самостоятельной работой обучающихся. Пособие содержит тестовые задания и ситуационные задачи, которые помогут в изучении неврологической аспектов COVID-19.
Предназначено для обучающихся по основной образовательной программе высшего образования по специальности 31.05.01 Лечебное дело.

свернуть

Дополнительные материалы

В этом разделе еще нет дополнительных материалов, будьте первыми.
В этом разделе еще нет дополнительных материалов, будьте первыми.
В этом разделе еще нет дополнительных материалов, будьте первыми.
Добавить материал

Похожие книги