Размер шрифта:
Цвета сайта:
Изображения:
 

Атеросклеротические поражения сонных артерий: клиника, диагностика, лечение

Большая медицинская библиотека
Читать отрывок
Подписка
Печатная версия
Читать отрывок
Атеросклеротические поражения сонных артерий: клиника, диагностика, лечение : учебно-методическое пособие / Л. Н. Иванов, А. П. Медведев, Е. В. Юрасова и др. - 4-е изд.. - Н. Новгород : Издательство ПИМУ (НижГМА), 2017. - 76 c. - ISBN 9785703211922. - Текст : электронный // ЭБС "Букап" : [сайт]. - URL : https://www.books-up.ru/ru/book/ateroskleroticheskie-porazheniya-sonnyh-arterij-klinika-diagnostika-lechenie-12959526/ (дата обращения: 04.05.2026). - Режим доступа : по подписке.
Аннотация

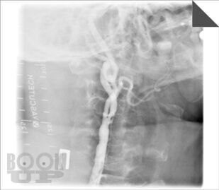
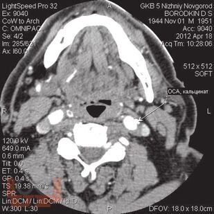
В пособии представлен не только хирургический раздел, но и анатомия кровообращения головного мозга и неврологическая симптоматика цереброваскулярных нарушений при атеросклеротических каротидных поражениях, поскольку каротидная хирургия неразрывно связана с этими аспектами. Приводится алгоритм обследования больных, охватывающий все современные методы нейровизуализации с указанием уровней доказательности, чувствительности и специфичности каждого из них. Особый акцент сделан на ценности ультразвуковых методов, которые наиболее доступны в клинической практике и достаточно информативны. При изложении лучевой семиотики для иллюстрации основных ангиоморфологических изменений даны эходопплерограммы, ангиограммы. Подробно описаны показания к хирургическому лечению, различные методы реконструкции сонных артерий.
Для клинических ординаторов, ангиохирургов, неврологов, врачей лучевой диагностики.

свернуть
Дополнительные материалы
Видео 0
В этом разделе еще нет дополнительных материалов, будьте первыми.
Аудио 0
В этом разделе еще нет дополнительных материалов, будьте первыми.
Документы 0
В этом разделе еще нет дополнительных материалов, будьте первыми.
Добавить материал
Большая медицинская библиотека
Атеросклеротические поражения сонных артерий: клиника, диагностика, лечение : учебно-методическое пособие / Л. Н. Иванов, А. П. Медведев, Е. В. Юрасова и др. - 4-е изд.. - Н. Новгород : Издательство ПИМУ (НижГМА), 2017. - 76 c. - ISBN 9785703211922. - Текст : электронный // ЭБС "Букап" : [сайт]. - URL : https://www.books-up.ru/ru/book/ateroskleroticheskie-porazheniya-sonnyh-arterij-klinika-diagnostika-lechenie-12959526/ (дата обращения: 04.05.2026). - Режим доступа : по подписке.
Подписка
12 месяцев
Печатная версия
Читать отрывок

В пособии представлен не только хирургический раздел, но и анатомия кровообращения головного мозга и неврологическая симптоматика цереброваскулярных нарушений при атеросклеротических каротидных поражениях, поскольку каротидная хирургия неразрывно связана с этими аспектами. Приводится алгоритм обследования больных, охватывающий все современные методы нейровизуализации с указанием уровней доказательности, чувствительности и специфичности каждого из них. Особый акцент сделан на ценности ультразвуковых методов, которые наиболее доступны в клинической практике и достаточно информативны. При изложении лучевой семиотики для иллюстрации основных ангиоморфологических изменений даны эходопплерограммы, ангиограммы. Подробно описаны показания к хирургическому лечению, различные методы реконструкции сонных артерий.
Для клинических ординаторов, ангиохирургов, неврологов, врачей лучевой диагностики.

свернуть

Дополнительные материалы

В этом разделе еще нет дополнительных материалов, будьте первыми.
В этом разделе еще нет дополнительных материалов, будьте первыми.
В этом разделе еще нет дополнительных материалов, будьте первыми.
Добавить материал

Похожие книги