Размер шрифта:
Цвета сайта:
Изображения:
 

Orofacial tuberculosis: clinic, diagnosis, differential diagnosis

Большая медицинская библиотека
Читать отрывок
Подписка
Читать отрывок
Tarasova L. G. Orofacial tuberculosis: clinic, diagnosis, differential diagnosis / L. G. Tarasova. - Томск : Издательство СибГМУ, 2020. - 102 c. - ISBN 9785985911596. - Текст : электронный // ЭБС "Букап" : [сайт]. - URL : https://www.books-up.ru/ru/book/orofacial-tuberculosis-clinic-diagnosis-differential-diagnosis-10782954/ (дата обращения: 01.05.2026). - Режим доступа : по подписке.
Аннотация

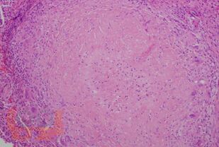
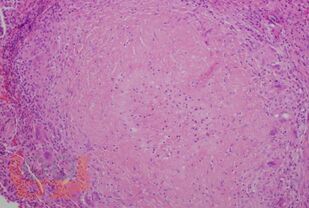
Current data on tuberculosis of orofacial localization are presented. Issues of etiology, classification, pathogenesis, risk factors, clinical features, diagnosis, differential diagnosis are disclosed. An algorithm is presented for examining patients with suspected orofacial tuberculosis and features of the treatment of the disease
In view of the rare localization of the disease, the training material is illustrated by the clinical data of patients with verified orofacial tuberculosis, which are publicly available and published on the Internet in specialized journals.
Tests are presented in various modifications, the answers to situational tasks are oriented to practice, which completes the highquality and complete development of the academic discipline.
The manual has been developed for the work program of the module “Infectious Diseases, Phthisiology” in the phthisiology unit for the direction of preparation 05.31.03 - Dentistry for students of higher medical educational institutions and is recommended for use for independent preparation for classes and indepth study of the material.

свернуть
Дополнительные материалы
Изображения 26

Ещё больше материалов после регистрации

Видео 0
В этом разделе еще нет дополнительных материалов, будьте первыми.
Аудио 0
В этом разделе еще нет дополнительных материалов, будьте первыми.
Документы 0
В этом разделе еще нет дополнительных материалов, будьте первыми.
Добавить материал
Большая медицинская библиотека
Tarasova L. G. Orofacial tuberculosis: clinic, diagnosis, differential diagnosis / L. G. Tarasova. - Томск : Издательство СибГМУ, 2020. - 102 c. - ISBN 9785985911596. - Текст : электронный // ЭБС "Букап" : [сайт]. - URL : https://www.books-up.ru/ru/book/orofacial-tuberculosis-clinic-diagnosis-differential-diagnosis-10782954/ (дата обращения: 01.05.2026). - Режим доступа : по подписке.
Подписка
6 месяцев
12 месяцев
Читать отрывок

Current data on tuberculosis of orofacial localization are presented. Issues of etiology, classification, pathogenesis, risk factors, clinical features, diagnosis, differential diagnosis are disclosed. An algorithm is presented for examining patients with suspected orofacial tuberculosis and features of the treatment of the disease
In view of the rare localization of the disease, the training material is illustrated by the clinical data of patients with verified orofacial tuberculosis, which are publicly available and published on the Internet in specialized journals.
Tests are presented in various modifications, the answers to situational tasks are oriented to practice, which completes the highquality and complete development of the academic discipline.
The manual has been developed for the work program of the module “Infectious Diseases, Phthisiology” in the phthisiology unit for the direction of preparation 05.31.03 - Dentistry for students of higher medical educational institutions and is recommended for use for independent preparation for classes and indepth study of the material.

свернуть

Дополнительные материалы

Ещё больше материалов после регистрации

В этом разделе еще нет дополнительных материалов, будьте первыми.
В этом разделе еще нет дополнительных материалов, будьте первыми.
В этом разделе еще нет дополнительных материалов, будьте первыми.
Добавить материал

Похожие книги