Размер шрифта:
Цвета сайта:
Изображения:
 

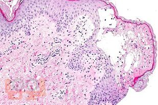
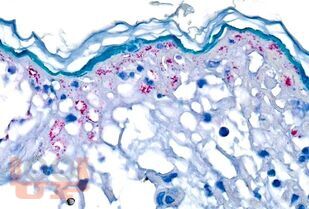
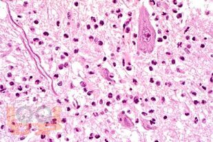
Энтеровирусные (неполио) инфекционные заболевания

Большая медицинская библиотека
Читать отрывок
Подписка
Читать отрывок
Энтеровирусные (неполио) инфекционные заболевания : Учебное пособие / Е. И. Петрова, Ю. В. Минакова, Е. В. Портнягина и др. - Томск : Издательство СибГМУ, 2023. - 76 c. - Текст : электронный // ЭБС "Букап" : [сайт]. - URL : https://www.books-up.ru/ru/book/enterovirusnye-nepolio-infekcionnye-zabolevaniya-17266239/ (дата обращения: 21.05.2026). - Режим доступа : по подписке.
Аннотация

В учебном пособии представлены современные сведения об этиологии, эпидемиологии, основных аспектах патогенеза, клинических проявлениях, диагностике, дифференциальной диагностике, лечении и профилактике энтеровирусных неполиомиелитных инфекций.

Пособие предназначено для самостоятельной работы студентов в рамках дисциплины «Инфекционные болезни» в соответствии с Федеральным государственным образовательным стандартом высшего профессионального образования, ординаторов в рамках основной профессиональной образовательной программы ординатуры по специальности «Инфекционные болезни» и слушателей ДПП повышения квалификации и профессиональной переподготовки «Инфекционные болезни».

свернуть
Дополнительные материалы
Изображения 21

Ещё больше материалов после регистрации

Видео 0
В этом разделе еще нет дополнительных материалов, будьте первыми.
Аудио 0
В этом разделе еще нет дополнительных материалов, будьте первыми.
Документы 0
В этом разделе еще нет дополнительных материалов, будьте первыми.
Добавить материал
Большая медицинская библиотека
Энтеровирусные (неполио) инфекционные заболевания : Учебное пособие / Е. И. Петрова, Ю. В. Минакова, Е. В. Портнягина и др. - Томск : Издательство СибГМУ, 2023. - 76 c. - Текст : электронный // ЭБС "Букап" : [сайт]. - URL : https://www.books-up.ru/ru/book/enterovirusnye-nepolio-infekcionnye-zabolevaniya-17266239/ (дата обращения: 21.05.2026). - Режим доступа : по подписке.
Подписка
6 месяцев
12 месяцев
Читать отрывок

В учебном пособии представлены современные сведения об этиологии, эпидемиологии, основных аспектах патогенеза, клинических проявлениях, диагностике, дифференциальной диагностике, лечении и профилактике энтеровирусных неполиомиелитных инфекций.

Пособие предназначено для самостоятельной работы студентов в рамках дисциплины «Инфекционные болезни» в соответствии с Федеральным государственным образовательным стандартом высшего профессионального образования, ординаторов в рамках основной профессиональной образовательной программы ординатуры по специальности «Инфекционные болезни» и слушателей ДПП повышения квалификации и профессиональной переподготовки «Инфекционные болезни».

свернуть

Дополнительные материалы

Ещё больше материалов после регистрации

В этом разделе еще нет дополнительных материалов, будьте первыми.
В этом разделе еще нет дополнительных материалов, будьте первыми.
В этом разделе еще нет дополнительных материалов, будьте первыми.
Добавить материал

Похожие книги