Размер шрифта:
Цвета сайта:
Изображения:
 

Лучевая диагностика ревматологических заболеваний кисти

Большая медицинская библиотека
Читать отрывок
Подписка
Читать отрывок
Лучевая диагностика ревматологических заболеваний кисти : Учебное пособие / А. К. Траудт, В. Д. Завадовская, Т. В. Жогина, О. С. Шульга. - Томск ; Томск : Издательство СибГМУ, 2023. - 106 c. - Текст : электронный // ЭБС "Букап" : [сайт]. - URL : https://www.books-up.ru/ru/book/luchevaya-diagnostika-revmatologicheskih-zabolevanij-kisti-17266522/ (дата обращения: 24.01.2026). - Режим доступа : по подписке.
Аннотация

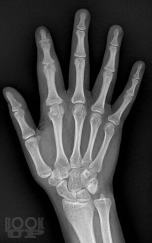
В учебном пособии представлены основные сведения о ревматологических заболеваниях, которые протекают с поражением суставов кисти, подробно изложена их рентгенологическая семиотика, описаны диагностические возможности других методов лучевой диагностики, таких как ультразвуковая диагностика, магнитно-резонансная и компьютерная томография. Особое внимание уделено дифференциальной диагностике заболеваний кисти.

Дан список литературы по теме пособия, а также иллюстрации, облегчающие восприятие материала. В пособии приведены тестовые задания.

Учебное пособие составлено в соответствии с Федеральным государственным образовательным стандартом высшего образования по специальности «рентгенология».

Пособие предназначено для рентгенологов, ультразвуковых диагностов, ревматологов, терапевтов, а также для студентов медицинских ВУЗов и ординаторов, обучающихся по специальностям «рентгенология», «ультразвуковая диагностика». Может использоваться для проведения практических занятий и самостоятельной подготовки студентов старших курсов медицинских университетов, ординаторов и аспирантов, а также врачей, повышающих квалификацию в Центрах дополнительного и непрерывного профессионального образования медицинских ВУЗов.

свернуть
Дополнительные материалы
Изображения 147

Ещё больше материалов после регистрации

Видео 0
В этом разделе еще нет дополнительных материалов, будьте первыми.
Аудио 0
В этом разделе еще нет дополнительных материалов, будьте первыми.
Документы 0
В этом разделе еще нет дополнительных материалов, будьте первыми.
Добавить материал
Большая медицинская библиотека
Лучевая диагностика ревматологических заболеваний кисти : Учебное пособие / А. К. Траудт, В. Д. Завадовская, Т. В. Жогина, О. С. Шульга. - Томск ; Томск : Издательство СибГМУ, 2023. - 106 c. - Текст : электронный // ЭБС "Букап" : [сайт]. - URL : https://www.books-up.ru/ru/book/luchevaya-diagnostika-revmatologicheskih-zabolevanij-kisti-17266522/ (дата обращения: 24.01.2026). - Режим доступа : по подписке.
Подписка
6 месяцев
12 месяцев
Читать отрывок

В учебном пособии представлены основные сведения о ревматологических заболеваниях, которые протекают с поражением суставов кисти, подробно изложена их рентгенологическая семиотика, описаны диагностические возможности других методов лучевой диагностики, таких как ультразвуковая диагностика, магнитно-резонансная и компьютерная томография. Особое внимание уделено дифференциальной диагностике заболеваний кисти.

Дан список литературы по теме пособия, а также иллюстрации, облегчающие восприятие материала. В пособии приведены тестовые задания.

Учебное пособие составлено в соответствии с Федеральным государственным образовательным стандартом высшего образования по специальности «рентгенология».

Пособие предназначено для рентгенологов, ультразвуковых диагностов, ревматологов, терапевтов, а также для студентов медицинских ВУЗов и ординаторов, обучающихся по специальностям «рентгенология», «ультразвуковая диагностика». Может использоваться для проведения практических занятий и самостоятельной подготовки студентов старших курсов медицинских университетов, ординаторов и аспирантов, а также врачей, повышающих квалификацию в Центрах дополнительного и непрерывного профессионального образования медицинских ВУЗов.

свернуть

Дополнительные материалы

Ещё больше материалов после регистрации

В этом разделе еще нет дополнительных материалов, будьте первыми.
В этом разделе еще нет дополнительных материалов, будьте первыми.
В этом разделе еще нет дополнительных материалов, будьте первыми.
Добавить материал

Похожие книги