Размер шрифта:
Цвета сайта:
Изображения:
 

Ультразвуковые методы исследования в диагностике заболеваний, пороков развития, опухолевых поражений гепатопанкреатопилородуоденальной зоны

Большая медицинская библиотека
Читать отрывок
Подписка
Читать отрывок
Ультразвуковые методы исследования в диагностике заболеваний, пороков развития, опухолевых поражений гепатопанкреатопилородуоденальной зоны / Р. Ф. Акберов, С. Р. Зогот, И. В. Клюшкин и др. - Казань : КГМА, 2012. - 56 c. - Текст : электронный // ЭБС "Букап" : [сайт]. - URL : https://www.books-up.ru/ru/book/ultrazvukovye-metody-issledovaniya-v-diagnostike-zabolevanij-porokov-razvitiya-opuholevyh-porazhenij-gepatopankreatopiloroduodenalnoj-zony-11755170/ (дата обращения: 22.05.2026). - Режим доступа : по подписке.
Аннотация

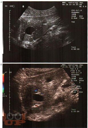
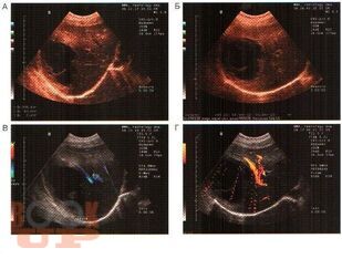
В практическом руководстве отражены вопросы ультразвуковой диагностики доброкачественных, злокачественных опухолей печени, поджелудочной железы, метастатического поражения печени, пороков развития, заболеваний гепатопанкреатодуоденальной зоны. Практическое руководство предназначено для специалистов лучевой диагностики, хирургов, онкохирургов.

свернуть
Дополнительные материалы
Изображения 39

Ещё больше материалов после регистрации

Видео 0
В этом разделе еще нет дополнительных материалов, будьте первыми.
Аудио 0
В этом разделе еще нет дополнительных материалов, будьте первыми.
Документы 0
В этом разделе еще нет дополнительных материалов, будьте первыми.
Добавить материал
Большая медицинская библиотека
Ультразвуковые методы исследования в диагностике заболеваний, пороков развития, опухолевых поражений гепатопанкреатопилородуоденальной зоны / Р. Ф. Акберов, С. Р. Зогот, И. В. Клюшкин и др. - Казань : КГМА, 2012. - 56 c. - Текст : электронный // ЭБС "Букап" : [сайт]. - URL : https://www.books-up.ru/ru/book/ultrazvukovye-metody-issledovaniya-v-diagnostike-zabolevanij-porokov-razvitiya-opuholevyh-porazhenij-gepatopankreatopiloroduodenalnoj-zony-11755170/ (дата обращения: 22.05.2026). - Режим доступа : по подписке.
Подписка
12 месяцев
Читать отрывок

В практическом руководстве отражены вопросы ультразвуковой диагностики доброкачественных, злокачественных опухолей печени, поджелудочной железы, метастатического поражения печени, пороков развития, заболеваний гепатопанкреатодуоденальной зоны. Практическое руководство предназначено для специалистов лучевой диагностики, хирургов, онкохирургов.

свернуть

Дополнительные материалы

Ещё больше материалов после регистрации

В этом разделе еще нет дополнительных материалов, будьте первыми.
В этом разделе еще нет дополнительных материалов, будьте первыми.
В этом разделе еще нет дополнительных материалов, будьте первыми.
Добавить материал

Похожие книги