Размер шрифта:
Цвета сайта:
Изображения:
 

Ортопедические последствия гематогенного остеомиелита верхних конечностей у детей

Читать отрывок
Подписка
Печатная версия
Читать отрывок
Гаркавенко Ю. Е. Ортопедические последствия гематогенного остеомиелита верхних конечностей у детей : Практическое руководство для врачей / Ю. Е. Гаркавенко, А. П. Поздеев. - СПб. : СпецЛит, 2021. - 63 c. - ISBN 9785299011074. - Текст : электронный // ЭБС "Букап" : [сайт]. - URL : https://www.books-up.ru/ru/book/ortopedicheskie-posledstviya-gematogennogo-osteomielita-verhnih-konechnostej-u-detej-15901773/ (дата обращения: 21.05.2026). - Режим доступа : по подписке.
Аннотация

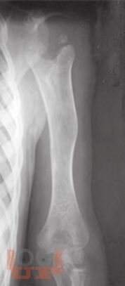
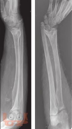
Авторами представлен многолетний опыт лечения детей с ортопедическими последствиями гематогенного остеомиелита верхних конечностей. На основании комплексного обследования пациентов предложены оптимальные способы лечения детей с данной патологией.
Издание предназначено для травматологов-ортопедов и хирургов широкого профиля.

свернуть
Дополнительные материалы
Изображения 31

Ещё больше материалов после регистрации

Видео 0
В этом разделе еще нет дополнительных материалов, будьте первыми.
Аудио 0
В этом разделе еще нет дополнительных материалов, будьте первыми.
Документы 0
В этом разделе еще нет дополнительных материалов, будьте первыми.
Добавить материал
Гаркавенко Ю. Е. Ортопедические последствия гематогенного остеомиелита верхних конечностей у детей : Практическое руководство для врачей / Ю. Е. Гаркавенко, А. П. Поздеев. - СПб. : СпецЛит, 2021. - 63 c. - ISBN 9785299011074. - Текст : электронный // ЭБС "Букап" : [сайт]. - URL : https://www.books-up.ru/ru/book/ortopedicheskie-posledstviya-gematogennogo-osteomielita-verhnih-konechnostej-u-detej-15901773/ (дата обращения: 21.05.2026). - Режим доступа : по подписке.
Подписка
6 месяцев
12 месяцев
Печатная версия
Читать отрывок

Авторами представлен многолетний опыт лечения детей с ортопедическими последствиями гематогенного остеомиелита верхних конечностей. На основании комплексного обследования пациентов предложены оптимальные способы лечения детей с данной патологией.
Издание предназначено для травматологов-ортопедов и хирургов широкого профиля.

свернуть

Дополнительные материалы

Ещё больше материалов после регистрации

В этом разделе еще нет дополнительных материалов, будьте первыми.
В этом разделе еще нет дополнительных материалов, будьте первыми.
В этом разделе еще нет дополнительных материалов, будьте первыми.
Добавить материал

Похожие книги