Размер шрифта:
Цвета сайта:
Изображения:
 

Тяжелая монолокальная, множественная и сочетанная скелетная травма. Шок в патогенезе развития травматической болезни

Большая медицинская библиотека
Читать отрывок
Подписка
Читать отрывок
Панков И. О. Тяжелая монолокальная, множественная и сочетанная скелетная травма. Шок в патогенезе развития травматической болезни : учебно-методическое пособие / И. О. Панков, Р. Я. Хабибьянов, Н. М. Грубер. - Казань : КГМА, 2020. - 64 c. - Текст : электронный // ЭБС "Букап" : [сайт]. - URL : https://www.books-up.ru/ru/book/tyazhelaya-monolokalnaya-mnozhestvennaya-i-sochetannaya-skeletnaya-travma-shok-v-patogeneze-razvitiya-travmaticheskoj-bolezni-16033974/ (дата обращения: 10.05.2026). - Режим доступа : по подписке.
Аннотация

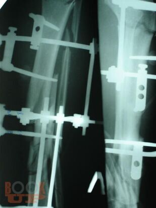
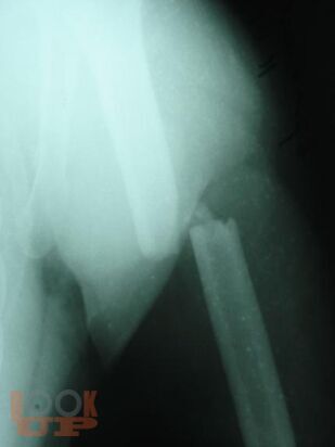
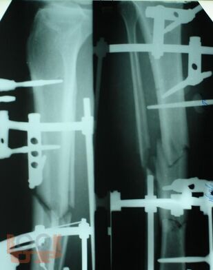
Учебно-методическое пособие содержит необходимую информацию для врачей по вопросам оказания специализированной помощи пострадавшим с тяжелой травмой костей нижних конечностей. Подробно освещены вопросы тактики оказания специализированной и высококвалифицированной помощи пострадавшим с тяжелыми монолокальными, множественными и сочетанными переломами костей конечностей в зависимости от периода развития травматической болезни. Отмечено, что в настоящее время оперативное лечение является основным при лечении переломов костей конечностей с учетом хирургической тактики контроля повреждения. Особое внимание уделено профилактике и лечению ранних осложнений тяжелых повреждений опорно-двигательного аппарата – синдрому жировой эмболии, тромбоэмболическим осложнениям. В пособии обобщен более, чем 20- летний опыт лечения пациентов с тяжелой травмой костей конечностей.
Учебно-методическое пособие предназначено для врачей травматологов-ортопедов, врачей-хирургов, клинических ординаторов, аспирантов.

свернуть
Дополнительные материалы
Изображения 10

Ещё больше материалов после регистрации

Видео 0
В этом разделе еще нет дополнительных материалов, будьте первыми.
Аудио 0
В этом разделе еще нет дополнительных материалов, будьте первыми.
Документы 0
В этом разделе еще нет дополнительных материалов, будьте первыми.
Добавить материал
Большая медицинская библиотека
Панков И. О. Тяжелая монолокальная, множественная и сочетанная скелетная травма. Шок в патогенезе развития травматической болезни : учебно-методическое пособие / И. О. Панков, Р. Я. Хабибьянов, Н. М. Грубер. - Казань : КГМА, 2020. - 64 c. - Текст : электронный // ЭБС "Букап" : [сайт]. - URL : https://www.books-up.ru/ru/book/tyazhelaya-monolokalnaya-mnozhestvennaya-i-sochetannaya-skeletnaya-travma-shok-v-patogeneze-razvitiya-travmaticheskoj-bolezni-16033974/ (дата обращения: 10.05.2026). - Режим доступа : по подписке.
Подписка
6 месяцев
12 месяцев
Читать отрывок

Учебно-методическое пособие содержит необходимую информацию для врачей по вопросам оказания специализированной помощи пострадавшим с тяжелой травмой костей нижних конечностей. Подробно освещены вопросы тактики оказания специализированной и высококвалифицированной помощи пострадавшим с тяжелыми монолокальными, множественными и сочетанными переломами костей конечностей в зависимости от периода развития травматической болезни. Отмечено, что в настоящее время оперативное лечение является основным при лечении переломов костей конечностей с учетом хирургической тактики контроля повреждения. Особое внимание уделено профилактике и лечению ранних осложнений тяжелых повреждений опорно-двигательного аппарата – синдрому жировой эмболии, тромбоэмболическим осложнениям. В пособии обобщен более, чем 20- летний опыт лечения пациентов с тяжелой травмой костей конечностей.
Учебно-методическое пособие предназначено для врачей травматологов-ортопедов, врачей-хирургов, клинических ординаторов, аспирантов.

свернуть

Дополнительные материалы

Ещё больше материалов после регистрации

В этом разделе еще нет дополнительных материалов, будьте первыми.
В этом разделе еще нет дополнительных материалов, будьте первыми.
В этом разделе еще нет дополнительных материалов, будьте первыми.
Добавить материал

Похожие книги