Размер шрифта:
Цвета сайта:
Изображения:
 

О клиническом значении торсии бедренной кости

Большая медицинская библиотека
Читать отрывок
Подписка
Читать отрывок
Гафаров Х. З. О клиническом значении торсии бедренной кости / Х. З. Гафаров, И. О. Панков. - Казань : КГМА, 2014. - 26 c. - Текст : электронный // ЭБС "Букап" : [сайт]. - URL : https://www.books-up.ru/ru/book/o-klinicheskom-znachenii-torsii-bedrennoj-kosti-10496184/ (дата обращения: 25.04.2026). - Режим доступа : по подписке.
Аннотация

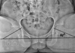
Учебное пособие содержит ценную информацию для врачей ортопедов и травматологов, занимающихся лечением повреждений и заболеваний проксимального отдела бедренной кости. В пособии представлена система рентгенологического и клинического обследования угловых величин - ан-теторсии, ретроторсии и шеечно-диафизарного угла - при планировании оперативных вмешательств по остеосинтезу переломов шейки бедренной кости и по эндопротезированию, исходя из индивидуальных форм кости каждого пациента. В работе описана методика определения длины канюлированных винтов и других фиксаторов для остеосинтеза шейки бедренной кости при еѐ переломах, используя анатомические и биомеханические параметры тазобедренного сустава исходя из здоровой стороны. Разработанная автором методика успешно использована при предоперационном планировании ургентного эндопротезирования и при повреждениях проксимального отдела бедренной кости.

свернуть
Дополнительные материалы
Изображения 5

Ещё больше материалов после регистрации

Видео 0
В этом разделе еще нет дополнительных материалов, будьте первыми.
Аудио 0
В этом разделе еще нет дополнительных материалов, будьте первыми.
Документы 0
В этом разделе еще нет дополнительных материалов, будьте первыми.
Добавить материал
Большая медицинская библиотека
Гафаров Х. З. О клиническом значении торсии бедренной кости / Х. З. Гафаров, И. О. Панков. - Казань : КГМА, 2014. - 26 c. - Текст : электронный // ЭБС "Букап" : [сайт]. - URL : https://www.books-up.ru/ru/book/o-klinicheskom-znachenii-torsii-bedrennoj-kosti-10496184/ (дата обращения: 25.04.2026). - Режим доступа : по подписке.
Подписка
12 месяцев
Читать отрывок

Учебное пособие содержит ценную информацию для врачей ортопедов и травматологов, занимающихся лечением повреждений и заболеваний проксимального отдела бедренной кости. В пособии представлена система рентгенологического и клинического обследования угловых величин - ан-теторсии, ретроторсии и шеечно-диафизарного угла - при планировании оперативных вмешательств по остеосинтезу переломов шейки бедренной кости и по эндопротезированию, исходя из индивидуальных форм кости каждого пациента. В работе описана методика определения длины канюлированных винтов и других фиксаторов для остеосинтеза шейки бедренной кости при еѐ переломах, используя анатомические и биомеханические параметры тазобедренного сустава исходя из здоровой стороны. Разработанная автором методика успешно использована при предоперационном планировании ургентного эндопротезирования и при повреждениях проксимального отдела бедренной кости.

свернуть

Дополнительные материалы

Ещё больше материалов после регистрации

В этом разделе еще нет дополнительных материалов, будьте первыми.
В этом разделе еще нет дополнительных материалов, будьте первыми.
В этом разделе еще нет дополнительных материалов, будьте первыми.
Добавить материал

Похожие книги