Размер шрифта:
Цвета сайта:
Изображения:
 

Комплексное гистологическое исследование внутренних органов и тканей при вертебротомии в эксперименте

Большая медицинская библиотека
Читать отрывок
Подписка
Читать отрывок
Комплексное гистологическое исследование внутренних органов и тканей при вертебротомии в эксперименте : Учебно-методическое пособие / Я. Х. Ибрагимов, А. М. Хромова, И. О. Панков и др. - Казань : КГМА, 2018. - 20 c. - Текст : электронный // ЭБС "Букап" : [сайт]. - URL : https://www.books-up.ru/ru/book/kompleksnoe-gistologicheskoe-issledovanie-vnutrennih-organov-i-tkanej-pri-vertebrotomii-v-eksperimente-16051640/ (дата обращения: 21.05.2026). - Режим доступа : по подписке.
Аннотация

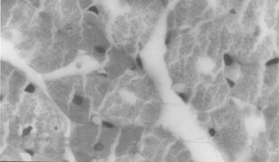
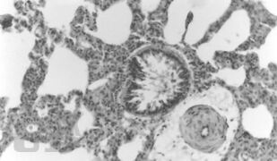
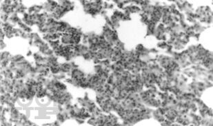
В учебно-методическом пособии приведены изменения микроциркуляции, дисциркуляторные и дистрофические изменения сердца, легких, диафрагмы и спинного мозга в раннем послеоперационном периоде на позвоночнике в эксперименте. Рекомендуется для врачей - ортопедов-травматологов, гистологов.

свернуть
Дополнительные материалы
Изображения 16

Ещё больше материалов после регистрации

Видео 0
В этом разделе еще нет дополнительных материалов, будьте первыми.
Аудио 0
В этом разделе еще нет дополнительных материалов, будьте первыми.
Документы 0
В этом разделе еще нет дополнительных материалов, будьте первыми.
Добавить материал
Большая медицинская библиотека
Комплексное гистологическое исследование внутренних органов и тканей при вертебротомии в эксперименте : Учебно-методическое пособие / Я. Х. Ибрагимов, А. М. Хромова, И. О. Панков и др. - Казань : КГМА, 2018. - 20 c. - Текст : электронный // ЭБС "Букап" : [сайт]. - URL : https://www.books-up.ru/ru/book/kompleksnoe-gistologicheskoe-issledovanie-vnutrennih-organov-i-tkanej-pri-vertebrotomii-v-eksperimente-16051640/ (дата обращения: 21.05.2026). - Режим доступа : по подписке.
Подписка
12 месяцев
Читать отрывок

В учебно-методическом пособии приведены изменения микроциркуляции, дисциркуляторные и дистрофические изменения сердца, легких, диафрагмы и спинного мозга в раннем послеоперационном периоде на позвоночнике в эксперименте. Рекомендуется для врачей - ортопедов-травматологов, гистологов.

свернуть

Дополнительные материалы

Ещё больше материалов после регистрации

В этом разделе еще нет дополнительных материалов, будьте первыми.
В этом разделе еще нет дополнительных материалов, будьте первыми.
В этом разделе еще нет дополнительных материалов, будьте первыми.
Добавить материал

Похожие книги