Размер шрифта:
Цвета сайта:
Изображения:
 

Тезисы лекций и практикум по рентгенологии. В 2 ч.

Читать отрывок
Подписка
Читать отрывок
Тезисы лекций и практикум по рентгенологии. В 2 ч. : методические рекомендации для интернов, клинических ординаторов, врачей-рентгенологов / М. Л. Пестерева, Л. Г. Пестерев, В. А. Картавова, Е. В. Синельникова. - Санкт-Петербург : СпецЛит, 2017. - 232 c. - ISBN 9785299008210. - Текст : электронный // ЭБС "Букап" : [сайт]. - URL : https://www.books-up.ru/ru/book/tezisy-lekcij-i-praktikum-po-rentgenologii-v-2-ch-18513893/ (дата обращения: 30.04.2026). - Режим доступа : по подписке.
Аннотация

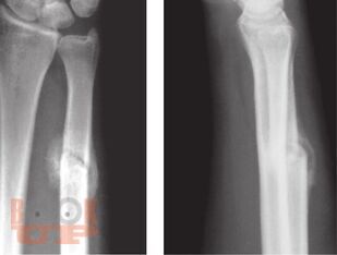
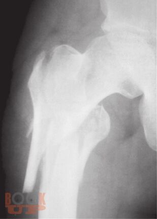
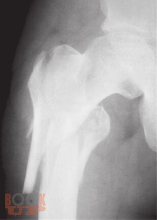
В настоящих методических рекомендациях обобщены научные данные и личный профессиональный опыт организации рентгеновской службы, описаны методы лучевой диагностики. Освещаются методы исследования органов и систем человека с нормальной анатомией, эмбриогенезом, рентгеноанатомией, а также рентгеносемиотика различных патологических состояний у взрослых и детей.

Методические рекомендации предназначены для интернов, ординаторов кафедр лучевой диагностики и рентгенологии, врачей-рентгенологов.

Утверждено учебно-методическим советом СПбГПМУ.

свернуть
Дополнительные материалы
Изображения 134

Ещё больше материалов после регистрации

Видео 0
В этом разделе еще нет дополнительных материалов, будьте первыми.
Аудио 0
В этом разделе еще нет дополнительных материалов, будьте первыми.
Документы 0
В этом разделе еще нет дополнительных материалов, будьте первыми.
Добавить материал
Тезисы лекций и практикум по рентгенологии. В 2 ч. : методические рекомендации для интернов, клинических ординаторов, врачей-рентгенологов / М. Л. Пестерева, Л. Г. Пестерев, В. А. Картавова, Е. В. Синельникова. - Санкт-Петербург : СпецЛит, 2017. - 232 c. - ISBN 9785299008210. - Текст : электронный // ЭБС "Букап" : [сайт]. - URL : https://www.books-up.ru/ru/book/tezisy-lekcij-i-praktikum-po-rentgenologii-v-2-ch-18513893/ (дата обращения: 30.04.2026). - Режим доступа : по подписке.
Подписка
6 месяцев
12 месяцев
Читать отрывок

В настоящих методических рекомендациях обобщены научные данные и личный профессиональный опыт организации рентгеновской службы, описаны методы лучевой диагностики. Освещаются методы исследования органов и систем человека с нормальной анатомией, эмбриогенезом, рентгеноанатомией, а также рентгеносемиотика различных патологических состояний у взрослых и детей.

Методические рекомендации предназначены для интернов, ординаторов кафедр лучевой диагностики и рентгенологии, врачей-рентгенологов.

Утверждено учебно-методическим советом СПбГПМУ.

свернуть

Дополнительные материалы

Ещё больше материалов после регистрации

В этом разделе еще нет дополнительных материалов, будьте первыми.
В этом разделе еще нет дополнительных материалов, будьте первыми.
В этом разделе еще нет дополнительных материалов, будьте первыми.
Добавить материал

Похожие книги