Размер шрифта:
Цвета сайта:
Изображения:
 

Морфологическая диагностика патологических процессов

Большая медицинская библиотека
Read part of it
Подписка
Read part of it
Морфологическая диагностика патологических процессов : учебное пособие для ординаторов, обучающихся по специальности «Патологическая анатомия» / М. В. Завьялова, С. В. Вторушин, И. Л. Пурлик и др. - Томск : Издательство СибГМУ, 2024. - 275 c. - Текст : электронный // ЭБС "Букап" : [сайт]. - URL : https://www.books-up.ru/en/book/morfologicheskaya-diagnostika-patologicheskih-processov-18661025/ (дата обращения: 28.04.2026). - Режим доступа : по подписке.
Аннотация

Учебное пособие разработано для ординаторов, обучающихся по специальности «патологическая анатомия», в соответствии с Федеральным государственным образовательным стандартом высшего образования - подготовка кадров высшей квалификации по программам ординатуры по специальности 31.08.07 - Патологическая анатомия.

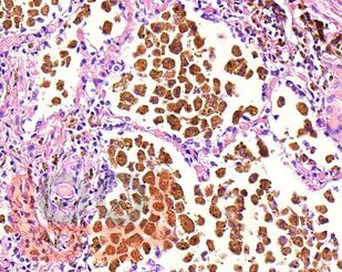
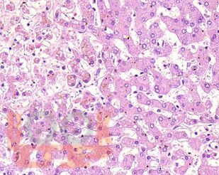
В учебном пособии представлен теоретический материал, перечень макропрепаратов и микропрепаратов, демонстрирующих типовые проявления патологических процессов и нозологических форм заболеваний. В цветных иллюстрациях и в описании микропрепаратов сделан акцент на наиболее важных гистологических изменениях, позволяющих на светооптическом уровне диагностировать и дифференцировать состояния, отклоняющиеся от нормы, в том числе с использованием различных гистологических окрасок. Пособие помогает выделить главные аспекты изучаемых патологических процессов, организовать и конкретизировать учебный процесс.

свернуть
Дополнительные материалы
Изображения 228

Ещё больше материалов после регистрации

Видео 0
В этом разделе еще нет дополнительных материалов, будьте первыми.
Аудио 0
В этом разделе еще нет дополнительных материалов, будьте первыми.
Документы 0
В этом разделе еще нет дополнительных материалов, будьте первыми.
Добавить материал
Большая медицинская библиотека
Морфологическая диагностика патологических процессов : учебное пособие для ординаторов, обучающихся по специальности «Патологическая анатомия» / М. В. Завьялова, С. В. Вторушин, И. Л. Пурлик и др. - Томск : Издательство СибГМУ, 2024. - 275 c. - Текст : электронный // ЭБС "Букап" : [сайт]. - URL : https://www.books-up.ru/en/book/morfologicheskaya-diagnostika-patologicheskih-processov-18661025/ (дата обращения: 28.04.2026). - Режим доступа : по подписке.
Подписка
6 месяцев
12 месяцев
Read part of it

Учебное пособие разработано для ординаторов, обучающихся по специальности «патологическая анатомия», в соответствии с Федеральным государственным образовательным стандартом высшего образования - подготовка кадров высшей квалификации по программам ординатуры по специальности 31.08.07 - Патологическая анатомия.

В учебном пособии представлен теоретический материал, перечень макропрепаратов и микропрепаратов, демонстрирующих типовые проявления патологических процессов и нозологических форм заболеваний. В цветных иллюстрациях и в описании микропрепаратов сделан акцент на наиболее важных гистологических изменениях, позволяющих на светооптическом уровне диагностировать и дифференцировать состояния, отклоняющиеся от нормы, в том числе с использованием различных гистологических окрасок. Пособие помогает выделить главные аспекты изучаемых патологических процессов, организовать и конкретизировать учебный процесс.

свернуть

Дополнительные материалы

Ещё больше материалов после регистрации

В этом разделе еще нет дополнительных материалов, будьте первыми.
В этом разделе еще нет дополнительных материалов, будьте первыми.
В этом разделе еще нет дополнительных материалов, будьте первыми.
Добавить материал

Похожие книги