Размер шрифта:
Цвета сайта:
Изображения:
 

Антрахиноны в гистохимии биологических структур

Большая медицинская библиотека
Read part of it
Подписка
Read part of it
Зиновьев С. В. Антрахиноны в гистохимии биологических структур : Монография / С. В. Зиновьев, Н. Г. Плехова. - Владивосток : Медицина ДВ, 2024. - 131 c. - ISBN 9785983013063. - Текст : электронный // ЭБС "Букап" : [сайт]. - URL : https://www.books-up.ru/en/book/antrahinony-v-gistohimii-biologicheskih-struktur-17824351/ (дата обращения: 25.05.2026). - Режим доступа : по подписке.
Аннотация

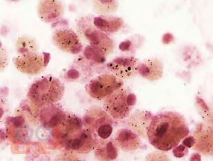
В монографии изложены представления о кислотных протравных антрахиноновых красителях, их свойствах, механизмах взаимодействия с биомолекулами. На примере эритроцитов периферической крови, клеток надпочечников и соединительной ткани продемонстрирован гистохимический метод окраски с применением ализаринового красного С бихроматом калия, в качестве протравы, с оценкой флуоресценции. Учитывая представленные структурные особенности микроскопических препаратов и гистохимической реакции для выявления флуоресценции с применением антрахиноновых протравных красителей, монография будет интересна для врачей патологоанатомов, биологов, специалистов в области гистологии, клеточной биологии, биохимии, физиологии и патофизиологии.

свернуть
Дополнительные материалы
Изображения 46

Ещё больше материалов после регистрации

Видео 0
В этом разделе еще нет дополнительных материалов, будьте первыми.
Аудио 0
В этом разделе еще нет дополнительных материалов, будьте первыми.
Документы 0
В этом разделе еще нет дополнительных материалов, будьте первыми.
Добавить материал
Большая медицинская библиотека
Зиновьев С. В. Антрахиноны в гистохимии биологических структур : Монография / С. В. Зиновьев, Н. Г. Плехова. - Владивосток : Медицина ДВ, 2024. - 131 c. - ISBN 9785983013063. - Текст : электронный // ЭБС "Букап" : [сайт]. - URL : https://www.books-up.ru/en/book/antrahinony-v-gistohimii-biologicheskih-struktur-17824351/ (дата обращения: 25.05.2026). - Режим доступа : по подписке.
Подписка
6 месяцев
12 месяцев
Read part of it

В монографии изложены представления о кислотных протравных антрахиноновых красителях, их свойствах, механизмах взаимодействия с биомолекулами. На примере эритроцитов периферической крови, клеток надпочечников и соединительной ткани продемонстрирован гистохимический метод окраски с применением ализаринового красного С бихроматом калия, в качестве протравы, с оценкой флуоресценции. Учитывая представленные структурные особенности микроскопических препаратов и гистохимической реакции для выявления флуоресценции с применением антрахиноновых протравных красителей, монография будет интересна для врачей патологоанатомов, биологов, специалистов в области гистологии, клеточной биологии, биохимии, физиологии и патофизиологии.

свернуть

Дополнительные материалы

Ещё больше материалов после регистрации

В этом разделе еще нет дополнительных материалов, будьте первыми.
В этом разделе еще нет дополнительных материалов, будьте первыми.
В этом разделе еще нет дополнительных материалов, будьте первыми.
Добавить материал

Похожие книги