Размер шрифта:
Цвета сайта:
Изображения:
 

Частная патологическая анатомия по Роббинсу и Котрану в 2 т. Т. 1

Read part of it
Подписка
Печатная версия
Read part of it
Клатт Э. К. Частная патологическая анатомия по Роббинсу и Котрану в 2 т. Т. 1 : атлас / Э. К. Клатт. - М. : Практическая медицина, 2024. - 424 c. - ISBN 9785988118169. - Текст : электронный // ЭБС "Букап" : [сайт]. - URL : https://www.books-up.ru/en/book/chastnaya-patologicheskaya-anatomiya-po-robbinsu-i-kotranu-v-2-t-t-1-19573599/ (дата обращения: 12.05.2026). - Режим доступа : по подписке.
Аннотация

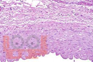
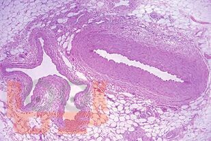
Атлас дополняет серию книг под общим названием «Патологическая анатомия по Роббинсу и Котрану». Это издание состоит из наглядных иллюстраций — микро- и макрофотографии органов и тканей, мазки крови, электронограммы, рентгенограммы, а также КТ- и МРТ-изображения. Каждую иллюстрацию сопровождает емкое описание, содержащее ключевые моменты, представленные в изображении. Для удобства навигации и наглядности в книге используются различные символы и пиктограммы.
Материал, представленный в атласе, служит для демонстрации патологических процессов, обеспечивая связь между теорией и клинической практикой. Информация в главах построена по органному принципу, включая сведения по частной патологической анатомии тех или иных органов и систем.
В настоящий том включены главы по патологии кровеносных сосудов, сердца, системы крови, легких, органов головы и шеи, желудочно-кишечного тракта, печени и желчевыводящих путей, а также поджелудочной железы.
Для студентов медицинских вузов и ординаторов всех специальностей.

свернуть
Дополнительные материалы
Изображения 387

Ещё больше материалов после регистрации

Видео 0
В этом разделе еще нет дополнительных материалов, будьте первыми.
Аудио 0
В этом разделе еще нет дополнительных материалов, будьте первыми.
Документы 0
В этом разделе еще нет дополнительных материалов, будьте первыми.
Добавить материал
Клатт Э. К. Частная патологическая анатомия по Роббинсу и Котрану в 2 т. Т. 1 : атлас / Э. К. Клатт. - М. : Практическая медицина, 2024. - 424 c. - ISBN 9785988118169. - Текст : электронный // ЭБС "Букап" : [сайт]. - URL : https://www.books-up.ru/en/book/chastnaya-patologicheskaya-anatomiya-po-robbinsu-i-kotranu-v-2-t-t-1-19573599/ (дата обращения: 12.05.2026). - Режим доступа : по подписке.
Подписка
1 месяц
3 месяца
6 месяцев
12 месяцев
Печатная версия
Read part of it

Атлас дополняет серию книг под общим названием «Патологическая анатомия по Роббинсу и Котрану». Это издание состоит из наглядных иллюстраций — микро- и макрофотографии органов и тканей, мазки крови, электронограммы, рентгенограммы, а также КТ- и МРТ-изображения. Каждую иллюстрацию сопровождает емкое описание, содержащее ключевые моменты, представленные в изображении. Для удобства навигации и наглядности в книге используются различные символы и пиктограммы.
Материал, представленный в атласе, служит для демонстрации патологических процессов, обеспечивая связь между теорией и клинической практикой. Информация в главах построена по органному принципу, включая сведения по частной патологической анатомии тех или иных органов и систем.
В настоящий том включены главы по патологии кровеносных сосудов, сердца, системы крови, легких, органов головы и шеи, желудочно-кишечного тракта, печени и желчевыводящих путей, а также поджелудочной железы.
Для студентов медицинских вузов и ординаторов всех специальностей.

свернуть

Дополнительные материалы

Ещё больше материалов после регистрации

В этом разделе еще нет дополнительных материалов, будьте первыми.
В этом разделе еще нет дополнительных материалов, будьте первыми.
В этом разделе еще нет дополнительных материалов, будьте первыми.
Добавить материал

Похожие книги