Размер шрифта:
Цвета сайта:
Изображения:
 

Морфологическая диагностика патологических процессов. Общая патология

Большая медицинская библиотека
Read part of it
Подписка
Read part of it
Завьялова М. В. Морфологическая диагностика патологических процессов. Общая патология / М. В. Завьялова. - Томск : Издательство СибГМУ, 2020. - 79 c. - Текст : электронный // ЭБС "Букап" : [сайт]. - URL : https://www.books-up.ru/en/book/morfologicheskaya-diagnostika-patologicheskih-processov-obcshaya-patologiya-10987419/ (дата обращения: 05.05.2026). - Режим доступа : по подписке.
Аннотация

Учебное пособие разработано по дисциплине «Патологическая анатомия, клиническая патологическая анатомия» в соответствии с Федеральным государственным образовательным стандартом высшего профессионального образования для студентов, обучающихся по основным образовательным программам высшего образования – программам специалитета по специальностям «Лечебное дело» и «Педиатрия».
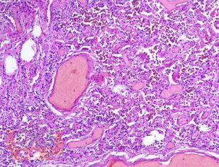
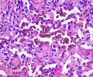
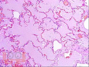
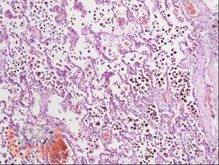
В пособии представлены цветные иллюстрации микропрепаратов и соответствующее им морфологическое описание. Детально освещены основные, наиболее важные гистологические изменения внутренних органов, позволяющие на светооптическом уровне диагностировать и дифференцировать между собой разнообразные патологические состояния. Представлены микрофотографии с гистохимическими окрасками различных тканей, использование которых помогает верифицировать специфические патологические процессы.
Предназначено для подготовки на практических занятиях студентов, обучающихся по основным образовательным программам высшего образования – программам специалитета по специальностям «Лечебное дело» и «Педиатрия».

свернуть
Дополнительные материалы
Изображения 104

Ещё больше материалов после регистрации

Видео 0
В этом разделе еще нет дополнительных материалов, будьте первыми.
Аудио 0
В этом разделе еще нет дополнительных материалов, будьте первыми.
Документы 0
В этом разделе еще нет дополнительных материалов, будьте первыми.
Добавить материал
Большая медицинская библиотека
Завьялова М. В. Морфологическая диагностика патологических процессов. Общая патология / М. В. Завьялова. - Томск : Издательство СибГМУ, 2020. - 79 c. - Текст : электронный // ЭБС "Букап" : [сайт]. - URL : https://www.books-up.ru/en/book/morfologicheskaya-diagnostika-patologicheskih-processov-obcshaya-patologiya-10987419/ (дата обращения: 05.05.2026). - Режим доступа : по подписке.
Подписка
6 месяцев
12 месяцев
Read part of it

Учебное пособие разработано по дисциплине «Патологическая анатомия, клиническая патологическая анатомия» в соответствии с Федеральным государственным образовательным стандартом высшего профессионального образования для студентов, обучающихся по основным образовательным программам высшего образования – программам специалитета по специальностям «Лечебное дело» и «Педиатрия».
В пособии представлены цветные иллюстрации микропрепаратов и соответствующее им морфологическое описание. Детально освещены основные, наиболее важные гистологические изменения внутренних органов, позволяющие на светооптическом уровне диагностировать и дифференцировать между собой разнообразные патологические состояния. Представлены микрофотографии с гистохимическими окрасками различных тканей, использование которых помогает верифицировать специфические патологические процессы.
Предназначено для подготовки на практических занятиях студентов, обучающихся по основным образовательным программам высшего образования – программам специалитета по специальностям «Лечебное дело» и «Педиатрия».

свернуть

Дополнительные материалы

Ещё больше материалов после регистрации

В этом разделе еще нет дополнительных материалов, будьте первыми.
В этом разделе еще нет дополнительных материалов, будьте первыми.
В этом разделе еще нет дополнительных материалов, будьте первыми.
Добавить материал

Похожие книги