Размер шрифта:
Цвета сайта:
Изображения:
 

Руководство к практическим занятиям по общей патологии в 2 частях: Ч. 2: Частный курс

Большая медицинская библиотека
Read part of it
Подписка
Read part of it
Руководство к практическим занятиям по общей патологии в 2 частях: Ч. 2: Частный курс : учебное пособие / Р. И. Плешко, И. А. Хлусов, А. Н. Дзюман, Н. М. Шевцова. - 2-е, перераб. и доп., Учебное пособие. - Томск : Издательство СибГМУ, 2020. - 166 c. - Текст : электронный // ЭБС "Букап" : [сайт]. - URL : https://www.books-up.ru/en/book/rukovodstvo-k-prakticheskim-zanyatiyam-po-obcshej-patologii-v-2-chastyah-ch-2-chastnyj-kurs-11444286/ (дата обращения: 02.05.2026). - Режим доступа : по подписке.
Аннотация

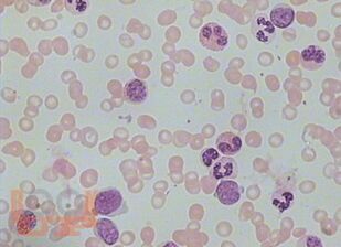
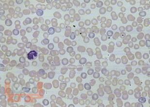
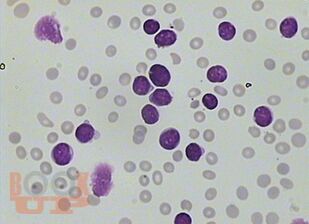
Учебное пособие включает в себя структурированные по занятиям темы частного курса общей патологии и предназначено для изучения основных синдромов и болезней сердечно-сосудистой, кроветворной, дыхательной, мочеполовой, пищеварительной, эндокринной систем. Каждое занятие сопровождается целеполаганием, списком основных теоретических вопросов и вопросов для самостоятельной работы студентов, перечнем макро- и описанием микропрепаратов, разбираемых в ходе занятия. Каждая тема сопровождена ситуационными задачами, тестами и контрольными вопросами. Руководство иллюстрировано оригинальными микрофотографиями, включает список рекомендуемой литературы и сетевых электронных ресурсов.

Учебное пособие построено в соответствии с Федеральным государственным образовательным стандартом высшего профессионального образования и предназначено для студентов 3, 4 курсов МБФ, специальность «30.05.01 - Медицинская биохимия» (специалитет), по дисциплине «Общая патология: патологическая анатомия, патофизиология» для использования на практических занятиях и самостоятельной работы.

свернуть
Дополнительные материалы
Изображения 19

Ещё больше материалов после регистрации

Видео 0
В этом разделе еще нет дополнительных материалов, будьте первыми.
Аудио 0
В этом разделе еще нет дополнительных материалов, будьте первыми.
Документы 0
В этом разделе еще нет дополнительных материалов, будьте первыми.
Добавить материал
Большая медицинская библиотека
Руководство к практическим занятиям по общей патологии в 2 частях: Ч. 2: Частный курс : учебное пособие / Р. И. Плешко, И. А. Хлусов, А. Н. Дзюман, Н. М. Шевцова. - 2-е, перераб. и доп., Учебное пособие. - Томск : Издательство СибГМУ, 2020. - 166 c. - Текст : электронный // ЭБС "Букап" : [сайт]. - URL : https://www.books-up.ru/en/book/rukovodstvo-k-prakticheskim-zanyatiyam-po-obcshej-patologii-v-2-chastyah-ch-2-chastnyj-kurs-11444286/ (дата обращения: 02.05.2026). - Режим доступа : по подписке.
Подписка
6 месяцев
12 месяцев
Read part of it

Учебное пособие включает в себя структурированные по занятиям темы частного курса общей патологии и предназначено для изучения основных синдромов и болезней сердечно-сосудистой, кроветворной, дыхательной, мочеполовой, пищеварительной, эндокринной систем. Каждое занятие сопровождается целеполаганием, списком основных теоретических вопросов и вопросов для самостоятельной работы студентов, перечнем макро- и описанием микропрепаратов, разбираемых в ходе занятия. Каждая тема сопровождена ситуационными задачами, тестами и контрольными вопросами. Руководство иллюстрировано оригинальными микрофотографиями, включает список рекомендуемой литературы и сетевых электронных ресурсов.

Учебное пособие построено в соответствии с Федеральным государственным образовательным стандартом высшего профессионального образования и предназначено для студентов 3, 4 курсов МБФ, специальность «30.05.01 - Медицинская биохимия» (специалитет), по дисциплине «Общая патология: патологическая анатомия, патофизиология» для использования на практических занятиях и самостоятельной работы.

свернуть

Дополнительные материалы

Ещё больше материалов после регистрации

В этом разделе еще нет дополнительных материалов, будьте первыми.
В этом разделе еще нет дополнительных материалов, будьте первыми.
В этом разделе еще нет дополнительных материалов, будьте первыми.
Добавить материал

Похожие книги