Размер шрифта:
Цвета сайта:
Изображения:
 

Патоморфологическая диагностика опухолеподобных образований поджелудочной железы

Read part of it
Подписка
Read part of it
Должанский О. В. Патоморфологическая диагностика опухолеподобных образований поджелудочной железы : руководство для врачей / О. В. Должанский, Л. Е. Гуревич, Е. М. Пальцева. - М. : Практическая медицина, 2022. - 284 c. - ISBN 9785988116998. - Текст : электронный // ЭБС "Букап" : [сайт]. - URL : https://www.books-up.ru/en/book/patomorfologicheskaya-diagnostika-opuholepodobnyh-obrazovanij-podzheludochnoj-zhelezy-16116566/ (дата обращения: 02.05.2026). - Режим доступа : по подписке.
Аннотация

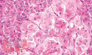
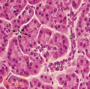
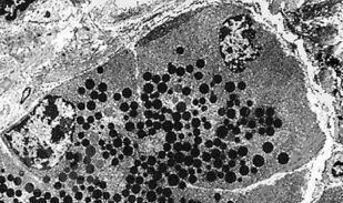
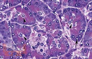
В книге изложены основные представления об этиологии, о клинических проявлениях и морфологической картине различных опухолеподобных изменений экзокринной и нейроэндокринной части поджелудочной железы. Данная работа представляет собой первую попытку в отечественной литературе систематизировать и осветить различные формы опухолеподобных заболеваний поджелудочной железы.
Для врачей-патологоанатомов, хирургов, студентов медицинских вузов и ординаторов.

свернуть
Дополнительные материалы
Изображения 300

Ещё больше материалов после регистрации

Видео 0
В этом разделе еще нет дополнительных материалов, будьте первыми.
Аудио 0
В этом разделе еще нет дополнительных материалов, будьте первыми.
Документы 0
В этом разделе еще нет дополнительных материалов, будьте первыми.
Добавить материал
Должанский О. В. Патоморфологическая диагностика опухолеподобных образований поджелудочной железы : руководство для врачей / О. В. Должанский, Л. Е. Гуревич, Е. М. Пальцева. - М. : Практическая медицина, 2022. - 284 c. - ISBN 9785988116998. - Текст : электронный // ЭБС "Букап" : [сайт]. - URL : https://www.books-up.ru/en/book/patomorfologicheskaya-diagnostika-opuholepodobnyh-obrazovanij-podzheludochnoj-zhelezy-16116566/ (дата обращения: 02.05.2026). - Режим доступа : по подписке.
Подписка
1 месяц
3 месяца
6 месяцев
12 месяцев
Read part of it

В книге изложены основные представления об этиологии, о клинических проявлениях и морфологической картине различных опухолеподобных изменений экзокринной и нейроэндокринной части поджелудочной железы. Данная работа представляет собой первую попытку в отечественной литературе систематизировать и осветить различные формы опухолеподобных заболеваний поджелудочной железы.
Для врачей-патологоанатомов, хирургов, студентов медицинских вузов и ординаторов.

свернуть

Дополнительные материалы

Ещё больше материалов после регистрации

В этом разделе еще нет дополнительных материалов, будьте первыми.
В этом разделе еще нет дополнительных материалов, будьте первыми.
В этом разделе еще нет дополнительных материалов, будьте первыми.
Добавить материал

Похожие книги