Размер шрифта:
Цвета сайта:
Изображения:
 

Компьютерная томография и рентгенодиагностика заболеваний брюшной полости. Выпуск 1

Read part of it
Подписка
Скачать PDF
Read part of it
Колганова И. П. Компьютерная томография и рентгенодиагностика заболеваний брюшной полости. Выпуск 1 : Клинико-рентгенологические задачи и ответы для самоконтроля / И. П. Колганова. - М. : Видар-М, 2014. - 208 c. - ISBN 9785884292062. - Текст : электронный // ЭБС "Букап" : [сайт]. - URL : https://www.books-up.ru/en/book/kompyuternaya-tomografiya-i-rentgenodiagnostika-zabolevanij-bryushnoj-polosti-vypusk-1-9182085/ (дата обращения: 30.04.2026). - Режим доступа : по подписке.
Аннотация

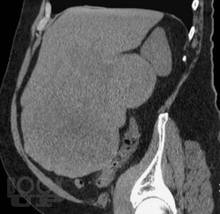
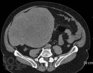
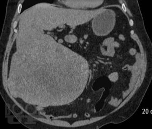
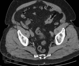
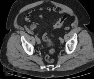
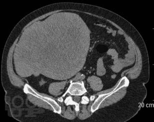
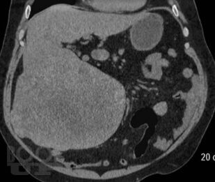
В книге приведены типичные клинико-рентгенологические ситуации, взятые авторами из повседневной практической работы в отделе лучевых методов диагностики и лечения Института хирургии им. А.В. Вишневского. Проанализированный материал охватывает хирургические заболевания органов брюшной полости и забрюшинного пространства вне острых или неотложных состояний. В первой части книги читателю предоставлена максимальная возможность сделать самостоятельное заключение о заболевании после анализа жалоб пациентов, анамнеза заболевания и приведенных изображений рентгеновских и КТ-исследований. Во второй части книги читатель может проверить правильность хода своих рассуждений и собственного заключения. Решение подобных ситуационных задач, несомненно, послужит большим подспорьем как начинающим, так и опытным врачам лучевой диагностики в их практической работе.

Издание предназначено для врачей – рентгенологов, интернов, клинических ординаторов, хирургов, онкологов и др.

свернуть
Дополнительные материалы
Изображения 275

Ещё больше материалов после регистрации

Видео 0
В этом разделе еще нет дополнительных материалов, будьте первыми.
Аудио 0
В этом разделе еще нет дополнительных материалов, будьте первыми.
Документы 0
В этом разделе еще нет дополнительных материалов, будьте первыми.
Добавить материал
Колганова И. П. Компьютерная томография и рентгенодиагностика заболеваний брюшной полости. Выпуск 1 : Клинико-рентгенологические задачи и ответы для самоконтроля / И. П. Колганова. - М. : Видар-М, 2014. - 208 c. - ISBN 9785884292062. - Текст : электронный // ЭБС "Букап" : [сайт]. - URL : https://www.books-up.ru/en/book/kompyuternaya-tomografiya-i-rentgenodiagnostika-zabolevanij-bryushnoj-polosti-vypusk-1-9182085/ (дата обращения: 30.04.2026). - Режим доступа : по подписке.
Подписка
6 месяцев
12 месяцев
Скачать PDF
Read part of it

В книге приведены типичные клинико-рентгенологические ситуации, взятые авторами из повседневной практической работы в отделе лучевых методов диагностики и лечения Института хирургии им. А.В. Вишневского. Проанализированный материал охватывает хирургические заболевания органов брюшной полости и забрюшинного пространства вне острых или неотложных состояний. В первой части книги читателю предоставлена максимальная возможность сделать самостоятельное заключение о заболевании после анализа жалоб пациентов, анамнеза заболевания и приведенных изображений рентгеновских и КТ-исследований. Во второй части книги читатель может проверить правильность хода своих рассуждений и собственного заключения. Решение подобных ситуационных задач, несомненно, послужит большим подспорьем как начинающим, так и опытным врачам лучевой диагностики в их практической работе.

Издание предназначено для врачей – рентгенологов, интернов, клинических ординаторов, хирургов, онкологов и др.

свернуть

Дополнительные материалы

Ещё больше материалов после регистрации

В этом разделе еще нет дополнительных материалов, будьте первыми.
В этом разделе еще нет дополнительных материалов, будьте первыми.
В этом разделе еще нет дополнительных материалов, будьте первыми.
Добавить материал

Похожие книги