Размер шрифта:
Цвета сайта:
Изображения:
 

Диагностика патологий конечностей лучевыми методами

Read part of it
Подписка
Печатная версия
Read part of it
Холин А. В. Диагностика патологий конечностей лучевыми методами / А. В. Холин. - СПБ : СпецЛит, 2019. - 190 c. - ISBN 9785299009880. - Текст : электронный // ЭБС "Букап" : [сайт]. - URL : https://www.books-up.ru/en/book/diagnostika-patologij-konechnostej-luchevymi-metodami-11685489/ (дата обращения: 19.01.2026). - Режим доступа : по подписке.
Аннотация

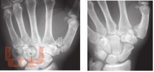
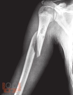
В пособии рассматриваются различные заболевания и травмы конечностей в аспекте их выявления лучевыми методами. Пособие составлено с учетом комплексного подхода к патологиям (костей и мягких тканей, суставов, сосудов, нервов) и диагностических методов (классического рентгеновского, КТ, МРТ, ультразвукового).
Издание предназначено для рентгенологов, врачей ультразвуковой и функциональной диагностики, невропатологов, нейрохирургов, ревматологов.

свернуть
Дополнительные материалы
Изображения 6

Ещё больше материалов после регистрации

Видео 0
В этом разделе еще нет дополнительных материалов, будьте первыми.
Аудио 0
В этом разделе еще нет дополнительных материалов, будьте первыми.
Документы 0
В этом разделе еще нет дополнительных материалов, будьте первыми.
Добавить материал
Холин А. В. Диагностика патологий конечностей лучевыми методами / А. В. Холин. - СПБ : СпецЛит, 2019. - 190 c. - ISBN 9785299009880. - Текст : электронный // ЭБС "Букап" : [сайт]. - URL : https://www.books-up.ru/en/book/diagnostika-patologij-konechnostej-luchevymi-metodami-11685489/ (дата обращения: 19.01.2026). - Режим доступа : по подписке.
Подписка
6 месяцев
12 месяцев
Печатная версия
Read part of it

В пособии рассматриваются различные заболевания и травмы конечностей в аспекте их выявления лучевыми методами. Пособие составлено с учетом комплексного подхода к патологиям (костей и мягких тканей, суставов, сосудов, нервов) и диагностических методов (классического рентгеновского, КТ, МРТ, ультразвукового).
Издание предназначено для рентгенологов, врачей ультразвуковой и функциональной диагностики, невропатологов, нейрохирургов, ревматологов.

свернуть

Дополнительные материалы

Ещё больше материалов после регистрации

В этом разделе еще нет дополнительных материалов, будьте первыми.
В этом разделе еще нет дополнительных материалов, будьте первыми.
В этом разделе еще нет дополнительных материалов, будьте первыми.
Добавить материал

Похожие книги