Размер шрифта:
Цвета сайта:
Изображения:
 

Острый живот. Возможности рентгенодиагностики

Read part of it
Подписка
Read part of it
Юдин А. Л. Острый живот. Возможности рентгенодиагностики : учебно-методическое пособие / А. Л. Юдин. - М. : РНИМУ, 2019. - 40 c. - ISBN 9785884583733. - Текст : электронный // ЭБС "Букап" : [сайт]. - URL : https://www.books-up.ru/en/book/ostryj-zhivot-vozmozhnosti-rentgenodiagnostiki-9239970/ (дата обращения: 17.12.2025). - Режим доступа : по подписке.
Аннотация

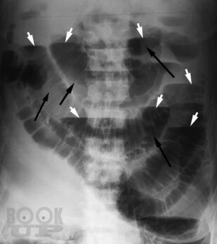
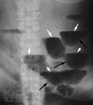
Учебно-методическое пособие разработано для подготовки к занятиям по лучевой диагностике заболеваний органов ЖКТ. В пособии рассматриваются всесторонние аспекты методов лучевой диагностики при подозрении на острое хирургическое заболевание органов ЖКТ, в частности кишечную непроходимость, прободение полого органа, нарушение брыжеечного кровообращения и др.

Пособие подготовлено по дисциплинам "Лучевая диагностика", "Пропедевтика внутренних болезней, лучевая диагностика", "Общая хирургия, лучевая диагностика" в соответствии с ФГОС высшего образования по направлению подготовки 31.05.01 — "Лечебное дело" (специалитет) и по специальности 31.08.09 — "Рентгенология" (подготовка кадров высшей квалификации).

свернуть
Дополнительные материалы
Изображения 19

Ещё больше материалов после регистрации

Видео 0
В этом разделе еще нет дополнительных материалов, будьте первыми.
Аудио 0
В этом разделе еще нет дополнительных материалов, будьте первыми.
Документы 0
В этом разделе еще нет дополнительных материалов, будьте первыми.
Добавить материал
Юдин А. Л. Острый живот. Возможности рентгенодиагностики : учебно-методическое пособие / А. Л. Юдин. - М. : РНИМУ, 2019. - 40 c. - ISBN 9785884583733. - Текст : электронный // ЭБС "Букап" : [сайт]. - URL : https://www.books-up.ru/en/book/ostryj-zhivot-vozmozhnosti-rentgenodiagnostiki-9239970/ (дата обращения: 17.12.2025). - Режим доступа : по подписке.
Подписка
6 месяцев
12 месяцев
Read part of it

Учебно-методическое пособие разработано для подготовки к занятиям по лучевой диагностике заболеваний органов ЖКТ. В пособии рассматриваются всесторонние аспекты методов лучевой диагностики при подозрении на острое хирургическое заболевание органов ЖКТ, в частности кишечную непроходимость, прободение полого органа, нарушение брыжеечного кровообращения и др.

Пособие подготовлено по дисциплинам "Лучевая диагностика", "Пропедевтика внутренних болезней, лучевая диагностика", "Общая хирургия, лучевая диагностика" в соответствии с ФГОС высшего образования по направлению подготовки 31.05.01 — "Лечебное дело" (специалитет) и по специальности 31.08.09 — "Рентгенология" (подготовка кадров высшей квалификации).

свернуть

Дополнительные материалы

Ещё больше материалов после регистрации

В этом разделе еще нет дополнительных материалов, будьте первыми.
В этом разделе еще нет дополнительных материалов, будьте первыми.
В этом разделе еще нет дополнительных материалов, будьте первыми.
Добавить материал

Похожие книги