Размер шрифта:
Цвета сайта:
Изображения:
 

Лучевая диагностика аномалий и пороков развития пищеварительного тракта у детей

Read part of it
Подписка
Печатная версия
Read part of it
Савалей Е. А. Лучевая диагностика аномалий и пороков развития пищеварительного тракта у детей / Е. А. Савалей, Е. А. Сотникова, В. Г. Мазур. - СПБ : СпецЛит, 2019. - 38 c. - ISBN 9785299010015. - Текст : электронный // ЭБС "Букап" : [сайт]. - URL : https://www.books-up.ru/en/book/luchevaya-diagnostika-anomalij-i-porokov-razvitiya-picshevaritelnogo-trakta-u-detej-11677674/ (дата обращения: 17.05.2026). - Режим доступа : по подписке.
Аннотация

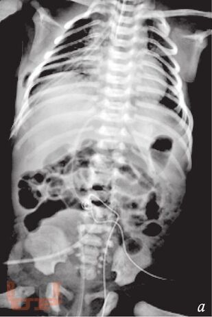
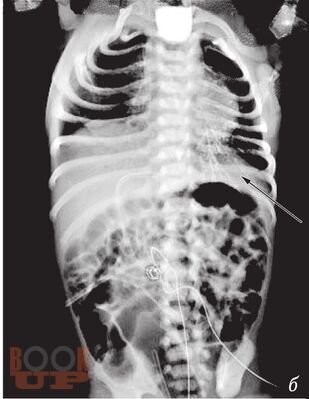
В методическом пособии описаны наиболее распространенные аномалии и пороки развития пищеварительного тракта у детей, а также лучевые методы исследования, с помощью которых диагностируют такие аномалии и пороки.
Пособие иллюстрировано фотографиями оригинальных рентгенограмм и схемами, облегчающими понимание изложенной темы.

Издание предназначено для студентов медицинских вузов, клинических ординаторов и врачей (рентгенологов, неонатологов, хирургов).

свернуть
Дополнительные материалы
Изображения 32

Ещё больше материалов после регистрации

Видео 0
В этом разделе еще нет дополнительных материалов, будьте первыми.
Аудио 0
В этом разделе еще нет дополнительных материалов, будьте первыми.
Документы 0
В этом разделе еще нет дополнительных материалов, будьте первыми.
Добавить материал
Савалей Е. А. Лучевая диагностика аномалий и пороков развития пищеварительного тракта у детей / Е. А. Савалей, Е. А. Сотникова, В. Г. Мазур. - СПБ : СпецЛит, 2019. - 38 c. - ISBN 9785299010015. - Текст : электронный // ЭБС "Букап" : [сайт]. - URL : https://www.books-up.ru/en/book/luchevaya-diagnostika-anomalij-i-porokov-razvitiya-picshevaritelnogo-trakta-u-detej-11677674/ (дата обращения: 17.05.2026). - Режим доступа : по подписке.
Подписка
12 месяцев
Печатная версия
Read part of it

В методическом пособии описаны наиболее распространенные аномалии и пороки развития пищеварительного тракта у детей, а также лучевые методы исследования, с помощью которых диагностируют такие аномалии и пороки.
Пособие иллюстрировано фотографиями оригинальных рентгенограмм и схемами, облегчающими понимание изложенной темы.

Издание предназначено для студентов медицинских вузов, клинических ординаторов и врачей (рентгенологов, неонатологов, хирургов).

свернуть

Дополнительные материалы

Ещё больше материалов после регистрации

В этом разделе еще нет дополнительных материалов, будьте первыми.
В этом разделе еще нет дополнительных материалов, будьте первыми.
В этом разделе еще нет дополнительных материалов, будьте первыми.
Добавить материал

Похожие книги