Размер шрифта:
Цвета сайта:
Изображения:
 

Введение в клиническую морфологию желудка и двенадцатиперстной кишки

Read part of it
Подписка
Read part of it
Голофеевский В. Ю. Введение в клиническую морфологию желудка и двенадцатиперстной кишки / В. Ю. Голофеевский. - СПб. : Фолиант, 2005. - 112 c. - ISBN 9785939291132. - Текст : электронный // ЭБС "Букап" : [сайт]. - URL : https://www.books-up.ru/en/book/vvedenie-v-klinicheskuyu-morfologiyu-zheludka-i-dvenadcatiperstnoj-kishki-5139701/ (дата обращения: 18.05.2026). - Режим доступа : по подписке.
Аннотация

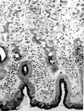
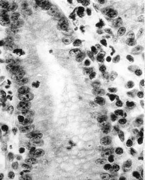
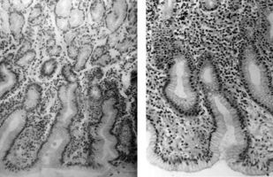
В небольшой по объему монографии представлена краткая анатомо-гистологическая характеристика нормальной слизистой оболочки желудка и двенадцатиперстной кишки, рассматривается морфологическая классификация гастритов и гастропатий, а также сущность дистрофических, воспалительных и дисрегенераторных изменений слизистой оболочки желудка при различных формах гастродуоденальной патологии. Приводятся краткие сведения об основных правилах гистологической техники, знание которых необходимо клиницисту. Основная цель пособия — дать молодому врачу представление об основах морфологической диагностики заболеваний желудка. Книга также может быть полезной для первичного образования и совершенствования гастроэнтерологов, клинических морфологов, эндоскопистов, а также для врачей других специальностей.

свернуть
Дополнительные материалы
Изображения 34

Ещё больше материалов после регистрации

Видео 0
В этом разделе еще нет дополнительных материалов, будьте первыми.
Аудио 0
В этом разделе еще нет дополнительных материалов, будьте первыми.
Документы 0
В этом разделе еще нет дополнительных материалов, будьте первыми.
Добавить материал
Голофеевский В. Ю. Введение в клиническую морфологию желудка и двенадцатиперстной кишки / В. Ю. Голофеевский. - СПб. : Фолиант, 2005. - 112 c. - ISBN 9785939291132. - Текст : электронный // ЭБС "Букап" : [сайт]. - URL : https://www.books-up.ru/en/book/vvedenie-v-klinicheskuyu-morfologiyu-zheludka-i-dvenadcatiperstnoj-kishki-5139701/ (дата обращения: 18.05.2026). - Режим доступа : по подписке.
Подписка
12 месяцев
Read part of it

В небольшой по объему монографии представлена краткая анатомо-гистологическая характеристика нормальной слизистой оболочки желудка и двенадцатиперстной кишки, рассматривается морфологическая классификация гастритов и гастропатий, а также сущность дистрофических, воспалительных и дисрегенераторных изменений слизистой оболочки желудка при различных формах гастродуоденальной патологии. Приводятся краткие сведения об основных правилах гистологической техники, знание которых необходимо клиницисту. Основная цель пособия — дать молодому врачу представление об основах морфологической диагностики заболеваний желудка. Книга также может быть полезной для первичного образования и совершенствования гастроэнтерологов, клинических морфологов, эндоскопистов, а также для врачей других специальностей.

свернуть

Дополнительные материалы

Ещё больше материалов после регистрации

В этом разделе еще нет дополнительных материалов, будьте первыми.
В этом разделе еще нет дополнительных материалов, будьте первыми.
В этом разделе еще нет дополнительных материалов, будьте первыми.
Добавить материал

Похожие книги