Размер шрифта:
Цвета сайта:
Изображения:
 

Морфологическая диагностика опухолей носа, околоносовых пазух и носоглотки

Read part of it
Подписка
Печатная версия
Read part of it
Бахтин А. А. Морфологическая диагностика опухолей носа, околоносовых пазух и носоглотки : Руководство-атлас / А. А. Бахтин, О. А. Сапегина. - М. : Практическая медицина, 2023. - 176 c. - ISBN 9785988117285. - Текст : электронный // ЭБС "Букап" : [сайт]. - URL : https://www.books-up.ru/en/book/morfologicheskaya-diagnostika-opuholej-nosa-okolonosovyh-pazuh-i-nosoglotki-17659054/ (дата обращения: 18.05.2026). - Режим доступа : по подписке.
Аннотация

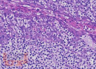
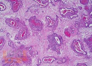
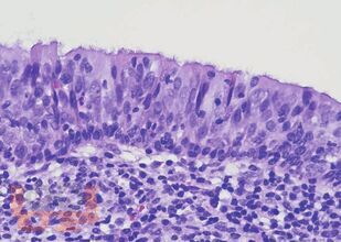
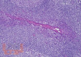
Настоящее руководство-атлас посвящено патоморфологической диагностике опухолей полости носа и носоглотки. Несомненным достоинством книги является систематизированное, лаконичное и вместе с тем весьма информативное изложение текстового материала (клинико-эпидемиологическая картина, морфологическая характеристика, дифференциально-диагностический ряд, необходимые дополнительные методы исследования), а также более 170 цветных микрофотографий наблюдений из собственной клинической практики с подробными подписями. Наряду с опухолями в книге представлен раздел наиболее часто встречающихся неопухолевых процессов синоназального тракта, необходимых для дифференциального диагноза.

Руководство-атлас предлагает структурированный подход с унифицированным изложением современных данных о клинических и морфологических особенностях доброкачественных и злокачественных опухолей носа и носоглотки.

Для врачей-патологоанатомов, оториноларингологов, онкологов, челюстно-лицевых хирургов и врачей других клинических специальностей, в сферу профессиональных интересов которых входят вопросы диагностики заболеваний головы и шеи; для врачей-интернов, ординаторов, аспирантов, слушателей циклов повышения квалификации и профессиональной переподготовки; для последипломного обучения специалистов научных, лечебных и учебных медицинских учреждений.

свернуть
Дополнительные материалы
Изображения 177

Ещё больше материалов после регистрации

Видео 0
В этом разделе еще нет дополнительных материалов, будьте первыми.
Аудио 0
В этом разделе еще нет дополнительных материалов, будьте первыми.
Документы 0
В этом разделе еще нет дополнительных материалов, будьте первыми.
Добавить материал
Бахтин А. А. Морфологическая диагностика опухолей носа, околоносовых пазух и носоглотки : Руководство-атлас / А. А. Бахтин, О. А. Сапегина. - М. : Практическая медицина, 2023. - 176 c. - ISBN 9785988117285. - Текст : электронный // ЭБС "Букап" : [сайт]. - URL : https://www.books-up.ru/en/book/morfologicheskaya-diagnostika-opuholej-nosa-okolonosovyh-pazuh-i-nosoglotki-17659054/ (дата обращения: 18.05.2026). - Режим доступа : по подписке.
Подписка
1 месяц
3 месяца
6 месяцев
12 месяцев
Печатная версия
Read part of it

Настоящее руководство-атлас посвящено патоморфологической диагностике опухолей полости носа и носоглотки. Несомненным достоинством книги является систематизированное, лаконичное и вместе с тем весьма информативное изложение текстового материала (клинико-эпидемиологическая картина, морфологическая характеристика, дифференциально-диагностический ряд, необходимые дополнительные методы исследования), а также более 170 цветных микрофотографий наблюдений из собственной клинической практики с подробными подписями. Наряду с опухолями в книге представлен раздел наиболее часто встречающихся неопухолевых процессов синоназального тракта, необходимых для дифференциального диагноза.

Руководство-атлас предлагает структурированный подход с унифицированным изложением современных данных о клинических и морфологических особенностях доброкачественных и злокачественных опухолей носа и носоглотки.

Для врачей-патологоанатомов, оториноларингологов, онкологов, челюстно-лицевых хирургов и врачей других клинических специальностей, в сферу профессиональных интересов которых входят вопросы диагностики заболеваний головы и шеи; для врачей-интернов, ординаторов, аспирантов, слушателей циклов повышения квалификации и профессиональной переподготовки; для последипломного обучения специалистов научных, лечебных и учебных медицинских учреждений.

свернуть

Дополнительные материалы

Ещё больше материалов после регистрации

В этом разделе еще нет дополнительных материалов, будьте первыми.
В этом разделе еще нет дополнительных материалов, будьте первыми.
В этом разделе еще нет дополнительных материалов, будьте первыми.
Добавить материал

Похожие книги