Размер шрифта:
Цвета сайта:
Изображения:
 

Саркоидоз

Большая медицинская библиотека
Read part of it
Подписка
Read part of it
Михайлов А. И. Саркоидоз / А. И. Михайлов, И. М. Михайлов, М. К. Михайлов. - Казань : КГМА, 2016. - 36 c. - Текст : электронный // ЭБС "Букап" : [сайт]. - URL : https://www.books-up.ru/en/book/sarkoidoz-10524965/ (дата обращения: 21.05.2026). - Режим доступа : по подписке.
Аннотация

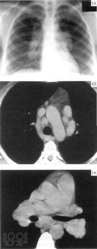
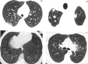
В учебно-методическом пособии авторы представили данные об этиологии, патогенез, патологической анатомии саркоидоза, клинико-рентгенологические классификации, методы диагностики лабораторные, лучевые (рентгенография, томография, КТ, МРТ, ПЭТ), радиоизотопное, бронхологические особенности современного саркоидоза. Приведены примеры собственных наблюдений.

Рекомендовано для врачей рентгенологов, врачей терапевтов, врачей общей практики, фтизиатров, пульмонологов, педиатров.

свернуть
Дополнительные материалы
Изображения 9

Ещё больше материалов после регистрации

Видео 0
В этом разделе еще нет дополнительных материалов, будьте первыми.
Аудио 0
В этом разделе еще нет дополнительных материалов, будьте первыми.
Документы 0
В этом разделе еще нет дополнительных материалов, будьте первыми.
Добавить материал
Большая медицинская библиотека
Михайлов А. И. Саркоидоз / А. И. Михайлов, И. М. Михайлов, М. К. Михайлов. - Казань : КГМА, 2016. - 36 c. - Текст : электронный // ЭБС "Букап" : [сайт]. - URL : https://www.books-up.ru/en/book/sarkoidoz-10524965/ (дата обращения: 21.05.2026). - Режим доступа : по подписке.
Подписка
12 месяцев
Read part of it

В учебно-методическом пособии авторы представили данные об этиологии, патогенез, патологической анатомии саркоидоза, клинико-рентгенологические классификации, методы диагностики лабораторные, лучевые (рентгенография, томография, КТ, МРТ, ПЭТ), радиоизотопное, бронхологические особенности современного саркоидоза. Приведены примеры собственных наблюдений.

Рекомендовано для врачей рентгенологов, врачей терапевтов, врачей общей практики, фтизиатров, пульмонологов, педиатров.

свернуть

Дополнительные материалы

Ещё больше материалов после регистрации

В этом разделе еще нет дополнительных материалов, будьте первыми.
В этом разделе еще нет дополнительных материалов, будьте первыми.
В этом разделе еще нет дополнительных материалов, будьте первыми.
Добавить материал

Похожие книги