Размер шрифта:
Цвета сайта:
Изображения:
 

Железодефицитная анемия

Большая медицинская библиотека
Read part of it
Подписка
Read part of it
Миндубаева Р. А. Железодефицитная анемия : Учебное пособие для врачей / Р. А. Миндубаева. - Казань : КГМА, 2018. - 23 c. - Текст : электронный // ЭБС "Букап" : [сайт]. - URL : https://www.books-up.ru/en/book/zhelezodeficitnaya-anemiya-16039017/ (дата обращения: 05.05.2026). - Режим доступа : по подписке.
Аннотация

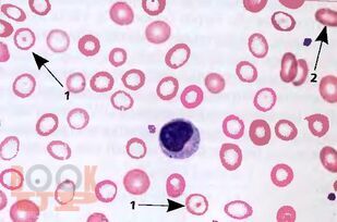
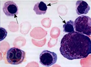
В учебном пособии на основе данных литературы и собственного опыта изложены данные об обмене железа и его нарушениях, этиологии, патогенезе развития железодефицитной анемии, алгоритм исследования больных железодефицитной анемией и методы ее лабораторной диагностики.

Учебное пособие рекомендуется для специалистов клинико-диагностических лабораторий и врачей общей практики.

свернуть
Дополнительные материалы
Изображения 6

Ещё больше материалов после регистрации

Видео 0
В этом разделе еще нет дополнительных материалов, будьте первыми.
Аудио 0
В этом разделе еще нет дополнительных материалов, будьте первыми.
Документы 0
В этом разделе еще нет дополнительных материалов, будьте первыми.
Добавить материал
Большая медицинская библиотека
Миндубаева Р. А. Железодефицитная анемия : Учебное пособие для врачей / Р. А. Миндубаева. - Казань : КГМА, 2018. - 23 c. - Текст : электронный // ЭБС "Букап" : [сайт]. - URL : https://www.books-up.ru/en/book/zhelezodeficitnaya-anemiya-16039017/ (дата обращения: 05.05.2026). - Режим доступа : по подписке.
Подписка
12 месяцев
Read part of it

В учебном пособии на основе данных литературы и собственного опыта изложены данные об обмене железа и его нарушениях, этиологии, патогенезе развития железодефицитной анемии, алгоритм исследования больных железодефицитной анемией и методы ее лабораторной диагностики.

Учебное пособие рекомендуется для специалистов клинико-диагностических лабораторий и врачей общей практики.

свернуть

Дополнительные материалы

Ещё больше материалов после регистрации

В этом разделе еще нет дополнительных материалов, будьте первыми.
В этом разделе еще нет дополнительных материалов, будьте первыми.
В этом разделе еще нет дополнительных материалов, будьте первыми.
Добавить материал

Похожие книги