Размер шрифта:
Цвета сайта:
Изображения:
 

Лучевая диагностика в пульмонологии, кардиологии и ревматологии

3

Read part of it
Подписка
Read part of it
Кизименко Н. Н. Лучевая диагностика в пульмонологии, кардиологии и ревматологии / Н. Н. Кизименко, М. В. Вертелецкая. - Краснодар : Качество, 2014. - 465 c. - ISBN 9785970304624. - Текст : электронный // ЭБС "Букап" : [сайт]. - URL : https://www.books-up.ru/en/book/luchevaya-diagnostika-v-pulmonologii-kardiologii-i-revmatologii-2051982/ (дата обращения: 07.03.2026). - Режим доступа : по подписке.
Аннотация

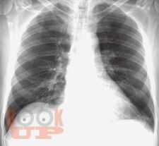
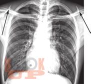
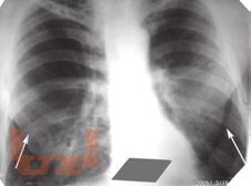
В настоящей монографии подробно описаны и проиллюстрированы изменения легких, сердца и костной системы при различных патологических состояниях в пульмонологии, кардиологии и ревматологии. Сопоставлены клиническая и рентгенологическая картины при различный нозологических формах проявления многих заболеваний. Все представленные результаты рентгенологических исследований верифицированы и подтверждены клинически. Монография предназначена для врачей-рентгенологов, пульмонологов, кардиологов и ревматологов, а так же врачей других специальностей, занимающихся диагностикой и лечением органов грудной клетки.

свернуть
Дополнительные материалы
Изображения 940

Ещё больше материалов после регистрации

Видео 0
В этом разделе еще нет дополнительных материалов, будьте первыми.
Аудио 0
В этом разделе еще нет дополнительных материалов, будьте первыми.
Документы 0
В этом разделе еще нет дополнительных материалов, будьте первыми.
Добавить материал
Кизименко Н. Н. Лучевая диагностика в пульмонологии, кардиологии и ревматологии / Н. Н. Кизименко, М. В. Вертелецкая. - Краснодар : Качество, 2014. - 465 c. - ISBN 9785970304624. - Текст : электронный // ЭБС "Букап" : [сайт]. - URL : https://www.books-up.ru/en/book/luchevaya-diagnostika-v-pulmonologii-kardiologii-i-revmatologii-2051982/ (дата обращения: 07.03.2026). - Режим доступа : по подписке.
Подписка
3 месяца
6 месяцев
12 месяцев
Read part of it

В настоящей монографии подробно описаны и проиллюстрированы изменения легких, сердца и костной системы при различных патологических состояниях в пульмонологии, кардиологии и ревматологии. Сопоставлены клиническая и рентгенологическая картины при различный нозологических формах проявления многих заболеваний. Все представленные результаты рентгенологических исследований верифицированы и подтверждены клинически. Монография предназначена для врачей-рентгенологов, пульмонологов, кардиологов и ревматологов, а так же врачей других специальностей, занимающихся диагностикой и лечением органов грудной клетки.

свернуть

Дополнительные материалы

Ещё больше материалов после регистрации

В этом разделе еще нет дополнительных материалов, будьте первыми.
В этом разделе еще нет дополнительных материалов, будьте первыми.
В этом разделе еще нет дополнительных материалов, будьте первыми.
Добавить материал

Похожие книги