Размер шрифта:
Цвета сайта:
Изображения:
 

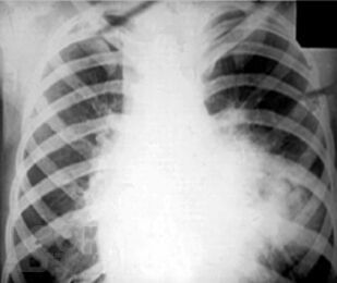
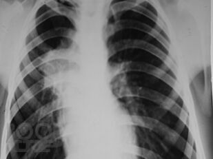
Рентгенологические синдромы при туберкулезе органов дыхания

Большая медицинская библиотека
Read part of it
Подписка
Read part of it
Рентгенологические синдромы при туберкулезе органов дыхания : учебное пособие / О. Н. Барканова, Н. Л. Попкова, С. Г. Гагарина, А. А. Калуженина. - Волгоград : ВолгГМУ, 2020. - 80 c. - Текст : электронный // ЭБС "Букап" : [сайт]. - URL : https://www.books-up.ru/en/book/rentgenologicheskie-sindromy-pri-tuberkuleze-organov-dyhaniya-12518419/ (дата обращения: 29.04.2026). - Режим доступа : по подписке.
Аннотация

В предлагаемом учебно-методическом пособии рассматриваются основные рентгенологические синдромы при патологии органов дыхания, а также частные вопросы рентгенологической диагностики туберкулеза органов дыхания.
Учебно-методическое пособие предназначено для клинических ординаторов, обучающихся по специальности «Фтизиатрия».

свернуть
Дополнительные материалы
Изображения 55

Ещё больше материалов после регистрации

Видео 0
В этом разделе еще нет дополнительных материалов, будьте первыми.
Аудио 0
В этом разделе еще нет дополнительных материалов, будьте первыми.
Документы 0
В этом разделе еще нет дополнительных материалов, будьте первыми.
Добавить материал
Большая медицинская библиотека
Рентгенологические синдромы при туберкулезе органов дыхания : учебное пособие / О. Н. Барканова, Н. Л. Попкова, С. Г. Гагарина, А. А. Калуженина. - Волгоград : ВолгГМУ, 2020. - 80 c. - Текст : электронный // ЭБС "Букап" : [сайт]. - URL : https://www.books-up.ru/en/book/rentgenologicheskie-sindromy-pri-tuberkuleze-organov-dyhaniya-12518419/ (дата обращения: 29.04.2026). - Режим доступа : по подписке.
Подписка
6 месяцев
12 месяцев
Read part of it

В предлагаемом учебно-методическом пособии рассматриваются основные рентгенологические синдромы при патологии органов дыхания, а также частные вопросы рентгенологической диагностики туберкулеза органов дыхания.
Учебно-методическое пособие предназначено для клинических ординаторов, обучающихся по специальности «Фтизиатрия».

свернуть

Дополнительные материалы

Ещё больше материалов после регистрации

В этом разделе еще нет дополнительных материалов, будьте первыми.
В этом разделе еще нет дополнительных материалов, будьте первыми.
В этом разделе еще нет дополнительных материалов, будьте первыми.
Добавить материал

Похожие книги