Размер шрифта:
Цвета сайта:
Изображения:
 

Ультразвуковая диагностика. Коленный сустав

Read part of it
Подписка
Скачать PDF
Read part of it
Сенча А. Н. Ультразвуковая диагностика. Коленный сустав / А. Н. Сенча, Д. В. Беляев, П. А. Чижов. - М. : Видар-М, 2012. - 200 c. - ISBN 9785884291669. - Текст : электронный // ЭБС "Букап" : [сайт]. - URL : https://www.books-up.ru/en/book/ultrazvukovaya-diagnostika-kolennyj-sustav-15651437/ (дата обращения: 18.05.2026). - Режим доступа : по подписке.
Аннотация

В основу книги положен многолетний опыт исследований коленного сустава в многопрофильной клинике с развитой ревматологической и ортопедической службами. Авторами приводится непредвзятое освещение возможностей современных методов лучевой диагностики патологии коленного сустава с адекватным позиционированием ультразвуковых исследований на различных этапах оказания медицинской помощи. Проанализирован опыт отечественных и зарубежных авторов, суммированы результаты многочисленных оригинальных собственных исследований. Подробно освещены особенности ультразвукового исследования широкого спектра патологических состояний и заболеваний травматического, воспалительного генеза, встречающихся у молодых и пожилых пациентов.
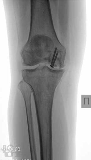
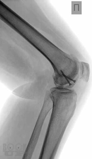
В книге представлен большой иллюстративный материал. Подробно изложена топографическая и ультразвуковая анатомия коленного сустава, рассмотрены технические особенности проведения исследования, варианты визуализации многочисленных патологических изменений.
Цель книги – помочь систематизировать знания по диагностике заболеваний коленного сустава, организовать своевременную диагностическую и эффективную лечебно-тактическую помощь пациентам данного профиля.
Издание предназначено для специалистов ультразвуковой диагностики, ревматологов, хирургов, ортопедов.

свернуть
Дополнительные материалы
Изображения 309

Ещё больше материалов после регистрации

Видео 0
В этом разделе еще нет дополнительных материалов, будьте первыми.
Аудио 0
В этом разделе еще нет дополнительных материалов, будьте первыми.
Документы 0
В этом разделе еще нет дополнительных материалов, будьте первыми.
Добавить материал
Сенча А. Н. Ультразвуковая диагностика. Коленный сустав / А. Н. Сенча, Д. В. Беляев, П. А. Чижов. - М. : Видар-М, 2012. - 200 c. - ISBN 9785884291669. - Текст : электронный // ЭБС "Букап" : [сайт]. - URL : https://www.books-up.ru/en/book/ultrazvukovaya-diagnostika-kolennyj-sustav-15651437/ (дата обращения: 18.05.2026). - Режим доступа : по подписке.
Подписка
6 месяцев
12 месяцев
Скачать PDF
Read part of it

В основу книги положен многолетний опыт исследований коленного сустава в многопрофильной клинике с развитой ревматологической и ортопедической службами. Авторами приводится непредвзятое освещение возможностей современных методов лучевой диагностики патологии коленного сустава с адекватным позиционированием ультразвуковых исследований на различных этапах оказания медицинской помощи. Проанализирован опыт отечественных и зарубежных авторов, суммированы результаты многочисленных оригинальных собственных исследований. Подробно освещены особенности ультразвукового исследования широкого спектра патологических состояний и заболеваний травматического, воспалительного генеза, встречающихся у молодых и пожилых пациентов.
В книге представлен большой иллюстративный материал. Подробно изложена топографическая и ультразвуковая анатомия коленного сустава, рассмотрены технические особенности проведения исследования, варианты визуализации многочисленных патологических изменений.
Цель книги – помочь систематизировать знания по диагностике заболеваний коленного сустава, организовать своевременную диагностическую и эффективную лечебно-тактическую помощь пациентам данного профиля.
Издание предназначено для специалистов ультразвуковой диагностики, ревматологов, хирургов, ортопедов.

свернуть

Дополнительные материалы

Ещё больше материалов после регистрации

В этом разделе еще нет дополнительных материалов, будьте первыми.
В этом разделе еще нет дополнительных материалов, будьте первыми.
В этом разделе еще нет дополнительных материалов, будьте первыми.
Добавить материал

Похожие книги