Размер шрифта:
Цвета сайта:
Изображения:
 

Закрытая травма грудной клетки

3

Read part of it
Подписка
Печатная версия
Read part of it
Махамбетчин М. М. Закрытая травма грудной клетки : проблемы диагностики / М. М. Махамбетчин. - Москва : Логосфера, 2016. - 232 c. - ISBN 9785986570556. - Текст : электронный // ЭБС "Букап" : [сайт]. - URL : https://www.books-up.ru/en/book/zakrytaya-travma-grudnoj-kletki-76894/ (дата обращения: 30.04.2026). - Режим доступа : по подписке.
"Центральным тезисом данной книги является следующий. Малый напряженный пневмоторакс — наиболее частый вариант напряженного пневмоторакса при закрытой сочетанной травме грудной клетки, который одновременно опасен для жизни и трудно диагностируем"

М. М. Махамбетчин

Диагностика и лечение больных с политравмой — одна из сложнейших проблем экстренной медицины
Поводом для написания этой книги послужили накопленный опыт преодоления сложностей в диагностике закрытой травмы грудной клетки и отсутствие по этой проблеме специальной литературы, удовлетворяющей потребностям практикующего врача
Аннотация

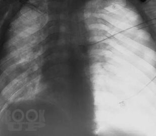
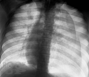
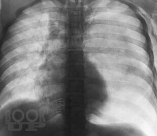
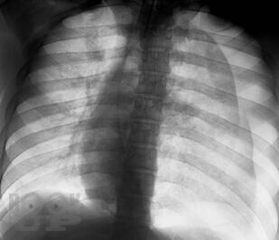
В книге изложены особенности клинической и рентгенологической диагностики повреждений и ранних осложнений закрытых травм грудной клетки. Проведен анализ объективных причин, затрудняющих основные и дополнительные методы исследования. На 240 рентгенограммах показаны признаки трудновыявляемых повреждений и осложнений травм грудной клетки, в частности пневмоторакса, гемоторакса, ателектаза, разрыва диафрагмы. Впервые отмечается клиническая значимость напряжения в малом пневмотораксе при политравме. Приведены сравнительная характеристика и алгоритм дифференциальной диагностики острых диффузных поражений легких при травме. Описан опыт выявления и решения проблемы нефункционирующего дренажа плевральной полости. Издание предназначено для хирургов, торакальных хирургов, травматологов, реаниматологов, оказывающих помощь больным с политравмой.

свернуть
Дополнительные материалы
Изображения 325

Ещё больше материалов после регистрации

Видео 0
В этом разделе еще нет дополнительных материалов, будьте первыми.
Аудио 0
В этом разделе еще нет дополнительных материалов, будьте первыми.
Документы 0
В этом разделе еще нет дополнительных материалов, будьте первыми.
Добавить материал
Махамбетчин М. М. Закрытая травма грудной клетки : проблемы диагностики / М. М. Махамбетчин. - Москва : Логосфера, 2016. - 232 c. - ISBN 9785986570556. - Текст : электронный // ЭБС "Букап" : [сайт]. - URL : https://www.books-up.ru/en/book/zakrytaya-travma-grudnoj-kletki-76894/ (дата обращения: 30.04.2026). - Режим доступа : по подписке.
"Центральным тезисом данной книги является следующий. Малый напряженный пневмоторакс — наиболее частый вариант напряженного пневмоторакса при закрытой сочетанной травме грудной клетки, который одновременно опасен для жизни и трудно диагностируем"

М. М. Махамбетчин

Диагностика и лечение больных с политравмой — одна из сложнейших проблем экстренной медицины
Поводом для написания этой книги послужили накопленный опыт преодоления сложностей в диагностике закрытой травмы грудной клетки и отсутствие по этой проблеме специальной литературы, удовлетворяющей потребностям практикующего врача
Подписка
3 месяца
6 месяцев
12 месяцев
Печатная версия
Read part of it

В книге изложены особенности клинической и рентгенологической диагностики повреждений и ранних осложнений закрытых травм грудной клетки. Проведен анализ объективных причин, затрудняющих основные и дополнительные методы исследования. На 240 рентгенограммах показаны признаки трудновыявляемых повреждений и осложнений травм грудной клетки, в частности пневмоторакса, гемоторакса, ателектаза, разрыва диафрагмы. Впервые отмечается клиническая значимость напряжения в малом пневмотораксе при политравме. Приведены сравнительная характеристика и алгоритм дифференциальной диагностики острых диффузных поражений легких при травме. Описан опыт выявления и решения проблемы нефункционирующего дренажа плевральной полости. Издание предназначено для хирургов, торакальных хирургов, травматологов, реаниматологов, оказывающих помощь больным с политравмой.

свернуть

Дополнительные материалы

Ещё больше материалов после регистрации

В этом разделе еще нет дополнительных материалов, будьте первыми.
В этом разделе еще нет дополнительных материалов, будьте первыми.
В этом разделе еще нет дополнительных материалов, будьте первыми.
Добавить материал

Похожие книги