Размер шрифта:
Цвета сайта:
Изображения:
 

Морфологическая диагностика патологических процессов. В 2 ч. Ч. 1. Учебное пособие для студентов лечебного факультета по специальности «Стоматология»

Большая медицинская библиотека
Read part of it
Подписка
Read part of it
Морфологическая диагностика патологических процессов. В 2 ч. Ч. 1. Учебное пособие для студентов лечебного факультета по специальности «Стоматология» / М. В. Завьялова, С. В. Вторушин, Н. В. Крахмаль и др. - Томск ; Томск : Издательство СибГМУ, 2023. - 111 c. - Текст : электронный // ЭБС "Букап" : [сайт]. - URL : https://www.books-up.ru/en/book/morfologicheskaya-diagnostika-patologicheskih-processov-v-2-ch-ch-1-uchebnoe-posobie-dlya-studentov-lechebnogo-fakulteta-po-specialnosti-stomatologiya-16301492/ (дата обращения: 04.05.2026). - Режим доступа : по подписке.
Аннотация

Учебное пособие разработано по дисциплине «Патологическая анатомия - патологическая анатомия головы и шеи» в соответствии с Федеральным государственным образовательным стандартом высшего профессионального образования для студентов, обучающихся по основным образовательным программам высшего образования - программам специалитета по специальности «Стоматология».

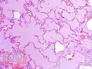
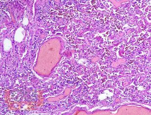
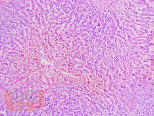
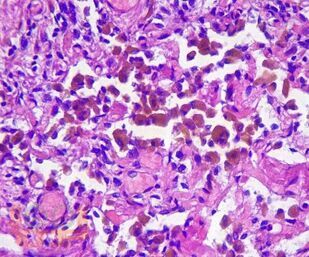
В учебном пособии представлен теоретический материал, перечень макропрепаратов и микропрепаратов, демонстрирующих типовые проявления патологических процессов. В цветных иллюстрациях и в описании микропрепаратов сделан акцент на наиболее важных гистологических изменениях, позволяющих на светооптическом уровне диагностировать и дифференцировать состояния, отклоняющиеся от нормы, в том числе с использованием различных гистологических окрасок. Пособие помогает выделить главные аспекты изучаемых патологических процессов, организовать и конкретизировать учебный процесс.

свернуть
Дополнительные материалы
Изображения 105

Ещё больше материалов после регистрации

Видео 0
В этом разделе еще нет дополнительных материалов, будьте первыми.
Аудио 0
В этом разделе еще нет дополнительных материалов, будьте первыми.
Документы 0
В этом разделе еще нет дополнительных материалов, будьте первыми.
Добавить материал
Большая медицинская библиотека
Морфологическая диагностика патологических процессов. В 2 ч. Ч. 1. Учебное пособие для студентов лечебного факультета по специальности «Стоматология» / М. В. Завьялова, С. В. Вторушин, Н. В. Крахмаль и др. - Томск ; Томск : Издательство СибГМУ, 2023. - 111 c. - Текст : электронный // ЭБС "Букап" : [сайт]. - URL : https://www.books-up.ru/en/book/morfologicheskaya-diagnostika-patologicheskih-processov-v-2-ch-ch-1-uchebnoe-posobie-dlya-studentov-lechebnogo-fakulteta-po-specialnosti-stomatologiya-16301492/ (дата обращения: 04.05.2026). - Режим доступа : по подписке.
Подписка
6 месяцев
12 месяцев
Read part of it

Учебное пособие разработано по дисциплине «Патологическая анатомия - патологическая анатомия головы и шеи» в соответствии с Федеральным государственным образовательным стандартом высшего профессионального образования для студентов, обучающихся по основным образовательным программам высшего образования - программам специалитета по специальности «Стоматология».

В учебном пособии представлен теоретический материал, перечень макропрепаратов и микропрепаратов, демонстрирующих типовые проявления патологических процессов. В цветных иллюстрациях и в описании микропрепаратов сделан акцент на наиболее важных гистологических изменениях, позволяющих на светооптическом уровне диагностировать и дифференцировать состояния, отклоняющиеся от нормы, в том числе с использованием различных гистологических окрасок. Пособие помогает выделить главные аспекты изучаемых патологических процессов, организовать и конкретизировать учебный процесс.

свернуть

Дополнительные материалы

Ещё больше материалов после регистрации

В этом разделе еще нет дополнительных материалов, будьте первыми.
В этом разделе еще нет дополнительных материалов, будьте первыми.
В этом разделе еще нет дополнительных материалов, будьте первыми.
Добавить материал

Похожие книги